Preview

Токсикологический вестник

Расширенный поиск

Изменение морфофункционального состояния печени под воздействием акриламида и на фоне коррекции комплексными соединениями оксиметилурацила в динамике

https://doi.org/10.47470/0869-7922-2025-33-6-417-425

EDN: npqehr

Содержание

Перейти к:

Аннотация

Введение. Акриламид широко используется в различных отраслях промышленности и признан токсичным соединением. С учётом потенциальных рисков его попадания в организм человека необходимо продолжать исследования, направленные на понимание механизмов токсичности и разработку эффективных способов коррекции патологических состояний, вызванных воздействием этого вещества.

Цель исследования оценить по биохимическим, генетическим и морфологическим показателям изменения морфофункционального состояния печени в результате воздействия акриламида и на фоне коррекции комплексными соединениями оксиметилурацила в динамике.

Материалы и методы. Экспериментальное исследование было проведено на аутбредных крысах-самцах, которым в течение трёх месяцев вводили внутрижелудочно акриламид в дозе 5 мг/кг массы тела. Профилактическую коррекцию осуществляли комплексными соединениями оксиметилурацила. Выполнены биохимические, генетические и морфологические исследования.

Результаты. Установлено, что через 1,5 и 3 мес у животных значительно увеличилась активность печёночных ферментов, в паренхиме печени наблюдали незначительные изменения. Экспрессия генов системы глутатиона понизилась в середине эксперимента и повысилась к концу. Комплексные соединения оксиметилурацила оказали определённое корректирующее влияние на фоне токсического воздействия.

Ограничения исследования заключаются в том, что были использованы лабораторные животные одного пола. Для более глубокого изучения данной проблемы необходимо рассмотреть влияние различных дозировок гепатотоксиканта, а также изучить протекторную эффективность комплексных соединений при других режимах воздействия на организм. Исследование не преследует цели доклинической оценки веществ и не рассматривает рецептуры как отдельные терапевтические агенты.

Заключение. Длительное воздействие акриламида в дозе 5 мг/кг массы тела оказало гепатотоксическое действие, которое проявилось в повышении активности маркёрных ферментов цитолиза и в разнонаправленном изменении экспрессии генов, участвующих в детоксикации организма, в зависимости от длительности воздействия, в меньшей степени – в гистологических изменениях структуры органа. Комплексные соединения оксиметилурацила проявили корректирующее действие в условиях интоксикации, по степени коррекции их можно расположить следующим образом: МГ-10 > МГ-2 > МГ-1.

Соблюдение этических стандартов. Исследование одобрено биоэтической комиссией ФБУН «Уфимский НИИ медицины труда и экологии человека» (протокол № 01-10 от 09.10.2024).

Участие авторов:
Хуснутдинова Н.Ю. – проведение исследований, сбор и обработка материала, написание текста;
Рябова Ю.В. – обработка материала, написание текста; редактирование;
Якупова Т.Г. – проведение исследований, сбор и обработка данных, статистический анализ;
Каримов Д.О. – концепция и дизайн исследования, редактирование;
Смолянкин Д.А., Ахмадеев А.Р., Хмель А.О. – сбор и обработка данных, статистический анализ;
Репина Э.Ф. – сбор и обработка данных, редактирование.
Все соавторы – утверждение окончательного варианта статьи, ответственность за целостность всех частей статьи.

Благодарности. Авторы выражают благодарность Альфие Раисовне Гимадиевой – кандидату хим. наук, старшему научному сотруднику лаборатории фармакофорных циклических систем Уфимского Института химии УФИЦ РАН за разработку и синтез комплексных соединений оксиметилурацила.

Конфликт интересов. Авторы заявляют об отсутствии явных и потенциальных конфликтов интересов в связи с публикацией данной статьи.

Финансирование. Работа проведена в рамках выполнения государственного задания по отраслевой научно-исследовательской программе Роспотребнадзора «Научное обоснование национальной системы обеспечения санитарно-эпидемиологического благополучия, управления рисками здоровью и повышения качества жизни населения России» на 2021–2025 гг. (п. 6.1.8), № государственной регистрации 121062100058-8. Синтез комплексных соединений оксиметилурацила выполнен в соответствии с планом научно-исследовательских работ УфИХ УФИЦ РАН (№ государственной регистрации АААА-А19-119011790021-4).

Поступила в редакцию: 24 мая 2025 / Поступила после исправления: 22 июня 2025 / Принята в печать: 25 ноября 2025 / Опубликована: 15 января 2026

Для цитирования:


Хуснутдинова Н.Ю., Рябова Ю.В., Якупова Т.Г., Каримов Д.О., Смолянкин Д.А., Ахмадеев А.Р., Хмель А.О., Репина Э.Ф. Изменение морфофункционального состояния печени под воздействием акриламида и на фоне коррекции комплексными соединениями оксиметилурацила в динамике. Токсикологический вестник. 2025;33(6):417-425. https://doi.org/10.47470/0869-7922-2025-33-6-417-425. EDN: npqehr

For citation:


Khusnutdinova N.Yu., Ryabova Yu.V., Yakupova T.G., Karimov D.O., Smolyankin D.A., Akhmadeev A.R., Khmel A.O., Repina E.F. Changes in the morphofunctional state of the liver under the influence of acrylamide and upon correction with complex compounds of oxymethyluracil in dynamics. Toxicological Review. 2025;33(6):417-425. (In Russ.) https://doi.org/10.47470/0869-7922-2025-33-6-417-425. EDN: npqehr

Введение

Акриламид (АА), относящийся к значимым загрязнителям окружающей среды, широко применяется в производстве полимеров, бумаги, красителей, клеящих лент, пищевой упаковки, а также активно используется в процессах водоочистки и лабораторной практике [1]. Кроме того, он является пищевым загрязнителем и образуется в продуктах, богатых углеводами, при их обработке при температуре выше плюс 120 °С [2]. АА также присутствует в сигаретном дыме, популярных продуктах питания и напитках [3–5]. Многочисленные исследования подтвердили, что АА вызывает различные токсические эффекты, в том числе гено-, нейро-, гепато- и нефротоксичность, канцерогенность, а также влияет на репродуктивную систему [6–8]. При попадании в организм АА метаболизируется в более токсичный продукт глицидамид [9, 10], который обладает выраженной способностью к диффузии в тканях [11–13]. В процессе связывания с восстановленным глутатионом оба токсиканта образуют глутатионовые конъюгаты, экскретируемые с мочой [14]. Печень, будучи основным органом детоксикации, выполняет критически важную функцию в метаболизме и выведении упомянутых токсических веществ, что делает её особенно уязвимой к их воздействию [15]. Таким образом, воздействие АА на организм является доказанным, что требует глубокого изучения его токсического потенциала, механизмов действия и связанных с ними последствий, а также поиска фармакологических агентов, способных снизить его токсичность.

Известно, что развитие многих патологических состояний так или иначе связано с изменением функционирования клеток. До определённого порога клетка способна восстанавливать свои функции после повреждения, но, если этот предел будет превышен в результате длительного или интенсивного воздействия негативного фактора, повреждение становится необратимым, что приводит к утрате жизнеспособности клетки.

Соединения на основе пиримидиновых оснований, в том числе оксиметилурацил (ОМУ), способны усиливать защитно-компенсаторные возможности клетки, поскольку обладают мембраностабилизирующими свойствами и высоким антиоксидантным потенциалом. Однако они характеризуются слабыми антигипоксическими свойствами, недостаточными для влияния на процессы энергогенеза в клетке в условиях токсического воздействия. Комбинированное использование производных пиримидина с антигипоксантами усиливает их защитное действие на клетки [16]. Следует подчеркнуть, что в рамках данного исследования не проводилась оценка фармакологической активности комплексных соединений ОМУ изолированно, поскольку основной задачей была сравнительная характеристика их корректирующего влияния при хроническом токсическом воздействии акриламида. Оценка терапевтической эффективности соединений вне условий токсической нагрузки может быть предметом отдельного исследования.

Цель исследования – по биохимическим, генетическим и морфологическим показателям оценить изменения морфофункционального состояния печени под воздействием акриламида и на фоне коррекции комплексными соединениями оксиметилурацила в динамике.

Материал и методы

В проведённом эксперименте использовали самцов крыс аутбредной линии со средней исходной массой тела 195,12 ± 1,32 г (разброс по массе тела среди экспериментальных животных не превышал 20%), которых содержали в группах при температуре плюс 21 ± 2 °C, 12-часовом цикле «свет – темнота», свободном доступе к воде и на сбалансированном пищевом рационе. Все действия выполняли в соответствии с установленными стандартами и протоколами, регламентирующими эксперименты с использованием животных [17].

Животные в случайном порядке были разделены на пять групп по 12 особей в каждой. Моделирование интоксикации осуществлялось с помощью внутрижелудочных введений АА пять раз в неделю на протяжении трёх месяцев. Первая группа (группа 1) была контрольной и получала внутрижелудочно дистиллированную воду в фиксированном объёме – от 1,0 мл в начале исследования до 1,6 мл в конце. Вторая, третья, четвёртая и пятая группы подвергались воздействию АА в дозе 5 мг/кг массы тела (м. т.) животного  через 1 ч после введения препаратов коррекции. Комплексные соединения ОМУ вводили в профилактическом режиме в следующих дозах: с аскорбиновой кислотой (далее – МГ-1) 0,05 г на 1 кг м. т. (группа 3); с сукцинатом натрия (далее – МГ-2) 0,05 г на 1 кг м. т. (группа 4); с ацетилцистеином (МГ-10) 0,5 г на 1 кг м. т. (группа 5). Указанные комплексные соединения были синтезированы в УфИХ УФИЦ РАН. Определение их доз было основано на выводах, сделанных в предыдущих исследованиях [18–20].

Оценку морфофункционального состояния печени экспериментальных животных проводили через 1,5 и 3 мес с начала исследования, подвергая эвтаназии по 6 животных из каждой опытной и контрольной группы на каждом сроке эксперимента.

Определяли биохимические параметры сыворотки крови лабораторных животных с использованием фотометра Stat Fax 3300 (Awareness Technology, США). Анализировали такие показатели, как уровень аланинаминотрансферазы (АлАТ), аспартатаминотрансферазы (АсАТ), щелочной фосфатазы (ЩФ), отражающие процессы обмена веществ и общее состояние печени. Для этого использовали специальные клинические тест-наборы и контрольные материалы, разработанные и произведённые компанией ООО «Вектор-Бест» (Россия).

У животных после эвтаназии извлекали печень. Активность фермента глутатион-S-трансферазы оценивали по уровням экспрессии гена Gstt1 и гена Gstm1 в образцах печёночной ткани, поскольку они катализируют процесс конъюгации глутатиона с акриламидом, образуя неактивные метаболиты, которые могут быть легко элиминированы из организма [21, 22]. РНК выделяли из тканевых образцов органа с использованием набора ExtractRNA (ЗАО «Евроген», Россия) в соответствии с рекомендациями производителя. ОТ-ПЦР проводили с использованием реактивов MMLV RT kit и праймеров олиго(dT)15 (ЗАО «Евроген», Россия). Для анализа транскрипции генов использовали метод полимеразной цепной реакции в режиме реального времени со специфичными олигонуклеотидными праймерами и интеркалирующим красителем SYBR Green. Ген Gapdh служил внутренним контролем.

Гистологический анализ ткани печени животных проводили на препаратах, приготовленных следующим образом: образцы ткани фиксировали в 10%-м буферном нейтральном формалине в течение 24 ч, стандартно обрабатывали для заливки парафином и нарезали на серийные срезы толщиной 5–7 мкм. Окрашенные гематоксилином и эозином препараты помещали в cреду Limonen mounting medium. Микроскопирование выполняли с использованием светового микроскопа Zeiss AXIO Imager D2 с увеличением × 200.

Статистические вычисления в рамках исследования проводили в компьютерной программе Jupiter notebook (версия 6.4.8). Сравнение средних величин осуществляли методом Монте-Карло. Кроме того, для учёта множественных сравнений была использована поправка Бенджамини – Хохберга. Групповые различия между средними считались статистически значимыми при p < 0,05.

Результаты

Через 1,5 мес воздействия АА у животных группы 2 установлено статистически значимое повышение активности маркёрных ферментов цитолиза в сыворотки крови: АсАТ и АлАТ (табл. 1). Уровень ЩФ имел тенденцию к росту, но не достиг статистической значимости.

Профилактическое введение всех комплексных соединений ОМУ при воздействии АА не оказало влияния на активность фермента АсАТ.

На активность ферментов АлАТ и ЩФ препараты коррекции оказали большее влияние. Так, активность данных ферментов в сыворотке крови крыс из групп 3, 4 и 5 была ниже, чем группы 2. Наиболее близкие к группе 1 значения показателя наблюдались у животных группы 5, получавших соединение МГ-10.

Через три месяца воздействия АА статистически значимо увеличилась активность всех трёх ферментов в группе 2 (см. табл. 1).

Некоторое протекторное действие на активность фермента АсАТ оказал препарат МГ-10, однако различия не имели статистической значимости. Так же, как и через 1,5 мес, комплексные соединения оказали большее влияние на активность ферментов АлАТ и ЩФ. Установлены статистически значимые различия по двум показателям между группами 2 и 4, и по ферменту АлАТ – между группами 2 и 5. Наибольшее корректирующее влияние на активность изучаемых ферментов через три месяца оказал препарат МГ-2.

В результате проведённых молекулярно-генетических исследований образцов печёночной ткани экспериментальных животных спустя 1,5 мес воздействия акриламида с коррекционным введением комплексных соединений ОМУ по экспрессии генов Gstt1 и Gstm1 установлено следующее.

При анализе транскрипционной активности гена Gstm1 и гена Gstt1 через 1,5 мес от начала эксперимента выявили определённые колебания показателя между группами, но эти изменения не достигли статистической значимости (р = 0,0575 и р = 0,1266 соответственно) (табл. 2). Однако в группе 2, животные которой получали только АА, уровень экспрессии обоих генов понизился по сравнению с контролем (группа 1), в то время как остальные группы показали более высокие уровни активности. Наиболее выраженное увеличение активности генов отмечено в группах 4 и 5, в которых крысы получали комплексные соединения МГ-2 и МГ-10 соответственно.

Через три месяца эксперимента экспрессия генов под воздействием АА повысилась (см. табл. 2), а на фоне коррекции – снизилась по обоим показателям в группах 3 и 5, по активности гена Gstm1 в группе 4. Несмотря на отсутствие статистической значимости различий между полученными данными по группам, прослеживается чёткая тенденция указанных изменений.

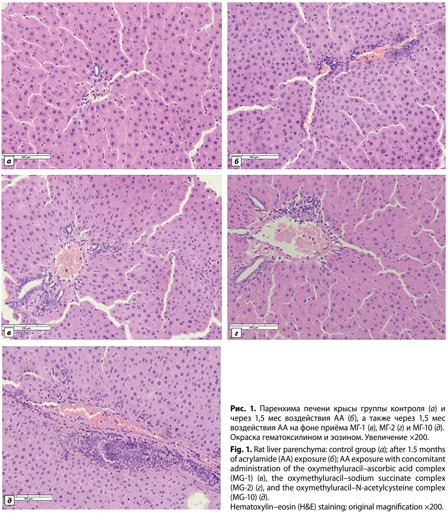
При оценке изменений в печени на тканевом уровне через 1,5 мес эксперимента установлено, что структура паренхимы органа животных контрольной группы (группа 1) соответствовала норме: наблюдались балочно-радиальное расположение гепатоцитов, чёткие границы портальных трактов и желчных протоков (рис. 1, см. на вклейке). В печени крыс этой группы не было обнаружено нарушений реологии крови, дефектов ткани, кровоизлияний, воспалительных инфильтратов, очагов разрастания атипичной или соединительной ткани.

Печень крыс группы 2 также сохраняла балочно-радиальное строение, чётко определялись границы печёночных долек. Вместе с тем центральные вены были слабо кровенаполнены, отмечалась слабая клеточная инфильтрация, встречались двуядерные гепатоциты. Дополнительное введение комплексных соединений не оказало корректирующего воздействия на морфологические показатели. Печень крыс в группах 3, 4, 5 визуально не имела отличий от печени крыс группы 2: сохранялась балочно-радиальное строение печени, центральные вены также были слабо кровенаполнены, встречался клеточный инфильтрат и двуядерные гепатоциты.

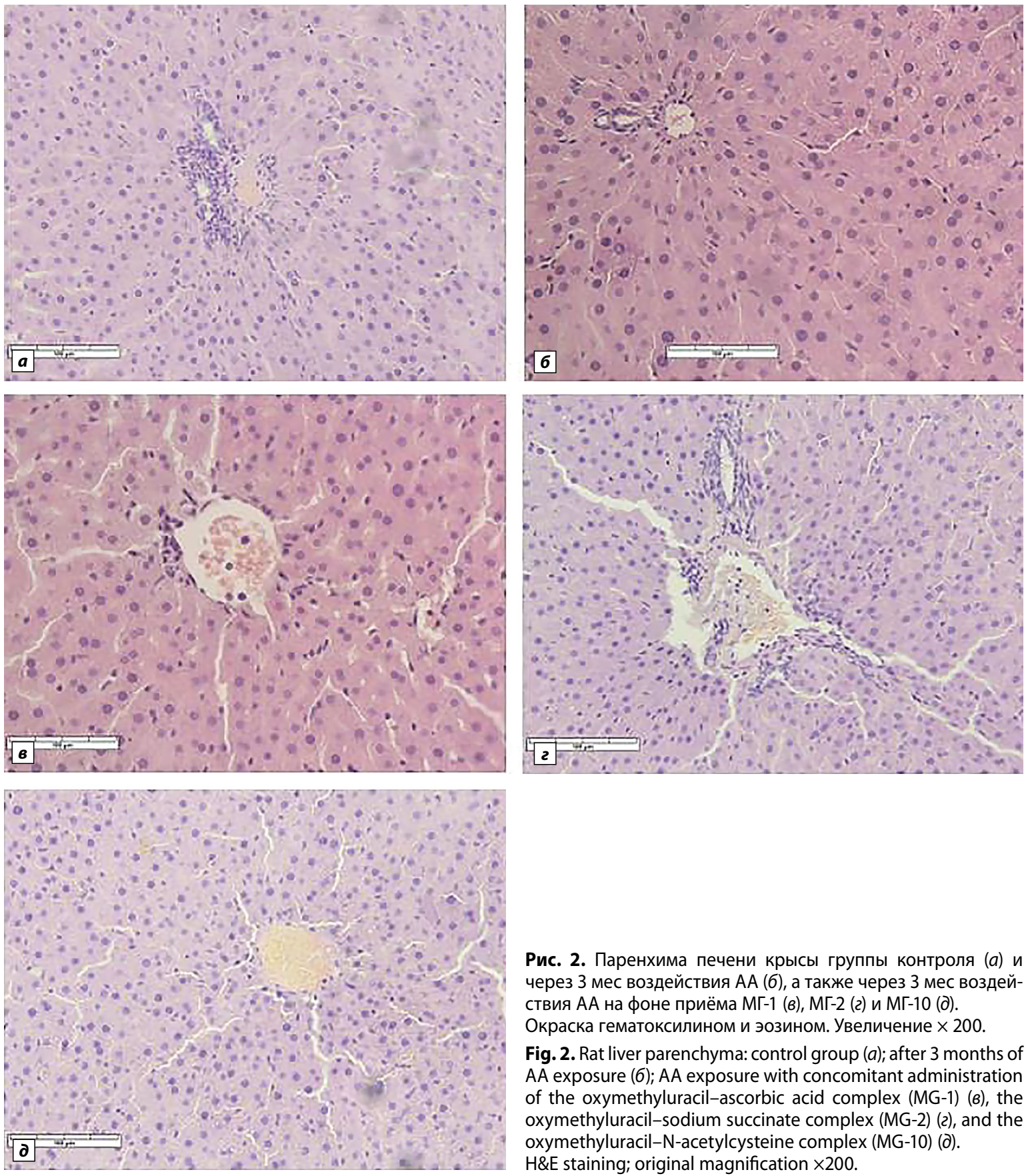
Структура паренхимы печени животных всех пяти групп через три месяца воздействия АА была идентична структуре органа этих групп через 1,5 мес (рис. 2, см. на вклейке).

Обсуждение

Таким образом, через полтора месяца от начала эксперимента во всех исследуемых группах в сравнении с контрольной практически повышалась активность ферментов (АсАТ и АлАТ), за исключением ЩФ (см. табл. 1). Выявленные изменения указывают на повреждение гепатоцитов. АлАТ, локализованная в цитозоле, и АсАТ, содержащаяся в митохондриях, обычно присутствуют в сыворотке в низких концентрациях, однако любой процесс, нарушающий целостность мембран гепатоцитов, приводит к высвобождению этих ферментов в кровь [23, 24]. На фоне коррекции акриламидовой интоксикации препаратом МГ-1 положительных эффектов не обнаружено. Возможно, его антигипоксическая активность не имеет решающего значения [18]. На фоне коррекцией препаратом МГ-2 уровень АлАТ и АсАТ изменяется, но не значимо, и значения остаются на уровне контрольной группы [19]. Вероятно, это связанно с особенностями механизма действия препаратов МГ-1 и МГ-2. Аскорбиновая кислота, важное составляющее МГ-1, известна своими мощными антиоксидантными свойствами, которые помогают нейтрализовать свободные радикалы и уменьшают окислительный стресс в клетках [25]. Сукцинат натрия, входящий в состав МГ-2, имеет нескольку иную направленность: он может участвовать в цикле Кребса, способствуя синтезу АТФ даже при сниженных уровнях кислорода, что способствует сохранению энергетического баланса клеток [26]. Кроме того, его комбинация с ОМУ подавляет активность процессов перекисного окисления липидов, что обеспечивает дополнительную защиту клетки от повреждений [27, 28].

У животных, подвергнутых воздействию АА на фоне коррекции препаратом МГ-10, уровень активности АсАТ и АлАТ в сыворотке крови отличался (но не значимо) от показателей контрольной группы. В то же время снизилась активность АлАТ и ЩФ в крови в сравнении с группой 2. Вероятно, эти изменения связаны с многокомпонентным воздействием МГ-10. Основной его компонент, 5-гидрокси-6-метилурацил, обладает антигипоксической активностью [20]. Ацетилцистеин является важным предшественником цистеина, необходимого для синтеза глутатиона, одного из мощнейших антиоксидантов в организме. Он подавляет процессы перекисного окисления липидов, защищает клеточные структуры от повреждений и принимает активное участие в процессах детоксикации. Благодаря способности восстанавливать уровень глутатиона ацетилцистеин поддерживает нормальную функцию клеток, улучшая их устойчивость к различным стрессовым факторам и повреждениям [29, 30]. Оба компонента препарата МГ-10 могут способствовать поддержанию стабильности клеточных мембран и энергетического баланса в клетках [31]. Кроме того, ацетилцистеин способен улучшать функцию митохондрий и активировать процессы синтеза АТФ [32].

Через три месяца от начала эксперимента эффект был более выражен (cм. табл. 1). Все три изученных фермента в группе положительного контроля статистически значимо отличались от аналогичных значений в отрицательном контроле, но при этом проявилось моделирующее влияние на функциональные параметры изученных нами препаратов. Наименее выраженный эффект, как и при 1,5-месячном воздействии, наблюдали в группе, получавшей препарат МГ-1. При воздействии АА на фоне приёма препарата МГ-2 активность АлАТ и ЩФ приближается к значениям контрольной группы. Препарат МГ-10 при акриламидной интоксикации стабилизировал активность всех изученных ферментов.

В настоящем исследовании при изученных сроках воздействия АА не были обнаружены статистически значимые изменения кратности экспрессии генов Gstt1 и Gstm1 как в группе положительного контроля, так и на фоне коррекции комплексными соединениями оксиметилурацила и через 1,5, и через 3 меc (см. табл. 2). Вместе с тем имелась определённая тенденция в изменении показателей: через 1,5 мес под воздействием АА экспрессия генов снизилась (возможно, за счёт проявленного генотоксического действия АА), а через 3 мес повысилась (вероятно, за счёт активизации различных защитно-компенсаторных механизмов при этом сроке воздействия). Комплексные соединения ОМУ оказали определённое корректирующее действие: степень изменений показателей по сравнению с группой 2 была менее выраженной при сохранении тенденции. На сроке 1,5 мес более результативными оказались соединения МГ-2 и МГ-10, на сроке 3 мес – препараты МГ-1 и МГ-10.

При гистоморфологическом исследовании тканей печени были обнаружены кровенаполнение сосуды и признаки инфильтрации во всех группах, получавших АА. При этом не было зафиксировано какой-либо динамики этих изменений (см. рис. 1, 2 на вклейке). Исследования Gedik S. с соавт. [33] указывают на аналогичные, но более выраженные патоморфологические изменения в печени крыс при воздействии дозы 25 мг/кг массы тела в течение 21 дня. В нашей работе изменения в группах, подвергшихся воздействию АА на фоне коррекции, также были аналогичны положительному контролю. Вероятно, для проявления выраженного токсического эффекта на структуру дозы 5 мг/кг массы тела недостаточно срока 3 мес.

Ограничения исследования заключаются в том, что были использованы лабораторные животные одного пола. Для более глубокого изучения данной проблемы необходимо рассмотреть влияние различных дозировок гепатотоксиканта, а также изучить протекторную эффективность комплексных соединений при других режимах воздействия на организм. Исследование не преследует цели доклинической оценки веществ и не рассматривает рецептуры как отдельные терапевтические агенты.

Заключение

Длительное воздействие акриламида в дозе 5 мг/кг массы тела оказало гепатотоксическое действие, которое проявилось как в 1,5, так и в 3 мес эксперимента. Наблюдали повышение активности маркёрных ферментов цитолиза и разнонаправленное изменение экспрессии генов, участвующих в детоксикации организма, в зависимости от длительности воздействия, в меньшей степени присутствовали гистологические изменения структуры органа.

Комплексные соединения оксиметилурацила проявили корректирующее влияние в условиях токсического воздействия, по степени коррекции их можно расположить следующим образом: МГ-10 > МГ-2 > МГ-1.

Список литературы

1. Moorman W.J., Reutman S.S., Shaw P.B., Blade L.M., Marlow D., Vespe H., et аl. Occupational exposure to acrylamide in closed system production plants: Air levels and biomonitoring. J. Toxicol. Environ. Health A. 2012; 75(2): 100–11. https://doi.org/10.1080/15287394.2011.615109

2. Gökmen V., Palazoğlu T.K. Acrylamide formation in foods during thermal processing with a focus on frying. Food Bioprocess Technol. 2008; 1: 35-42. https://doi.org/10.1007/s11947-007-0005-2

3. Smith C.J., Perfetti T.A., Rumple M.A., Rodgman A., Doolittle D.J. "IARC group 2A Carcinogens" reported in cigarette mainstream smoke. Food Chem. Toxicol. 2000; 38(4): 371–83. https://doi.org/10.1016/s0278-6915(99)00156-8

4. Mousavi Khaneghah A., Fakhri Y., Nematollahi A., Seilani F., Vasseghian Y. The concentration of acrylamide in different food products: a global systematic review, meta-analysis, and meta-regression. Food Rev. Int. 2022; 38(6): 1286–304. https://doi.org/10.1080/87559129.2020.1791175

5. Kocadağlı T., Gökmen V. Formation of acrylamide in coffee. Curr. Opin. Food Sci. 2022; 45: 100842. https://doi.org/10.1016/j.cofs.2022.100842

6. Matoso V., Bargi-Souza P., Ivanski F., Romano M.A., Romano R.M. Acrylamide: A review about its toxic effects in the light of Developmental Origin of Health and Disease (DOHaD) concept. Food Chem. 2019; 283: 422–30. https://doi.org/10.1016/j.foodchem.2019.01.054

7. Exon J.H. A review of the toxicology of acrylamide. J. Toxicol. Environ. Health B Crit. Rev. 2006; 9(5): 397–412. https://doi.org/10.1080/10937400600681430

8. WHO. International agency for research on cancer. In: IARC Monographs on the Evaluation of Carcinogenic Risks to Man. Volume 60. Lyon; 1994: 1–560.

9. Johnson K.A., Gorzinski S.J., Bodner K.M., Campbell R.A., Wolf C.H., Friedman M.A., et al. Chronic toxicity and oncogenicity study on acrylamide incorporated in the drinking water of Fischer 344 rats. Toxicol. Appl. Pharmacol. 1986; 85(2): 154–68. https://doi.org/10.1016/0041-008x(86)90109-2

10. Hamdy S., Bakeer H., Eskander E., Sayed O.N. Effect of acrylamide on some hormones and endocrine tissues in male rats. Hum. Exp. Toxicol. 2012; 31(5): 483–91. https://doi.org/10.1177/0960327111417267

11. Sayed S., Alotaibi S.S., El-Shehawi A.M., Hassan M.M., Shukry M., Alkafafy M., et al. The Anti-Inflammatory, anti-apoptotic and antioxidant effects of a pomegranate-peel extract against acrylamide-induced hepatotoxicity in rats. Life (Basel). 2022; 12(2): 224. https://doi.org/10.3390/life12020224

12. Michalak J., Czarnowska-Kujawska M., Klepacka J., Gujska E. Effect of microwave heating on the acrylamide formation in foods. Molecules. 2020; 25(18): 4140. https://doi.org/10.3390/molecules25184140

13. Panel E.C. Scientific opinion on acrylamide in food. EFSA J. 2015; 13(6): 4104.

14. Pelucchi C., Bosetti C., Galeone C., La Vecchia C. Dietary acrylamide and cancer risk: an updated meta-analysis. Int. J. Cancer. 2015; 136(12): 2912–22. https://doi.org/10.1002/ijc.29339

15. Gu X., Manautou J.E. Molecular mechanisms underlying chemical liver injury. Expert Rev. Mol. Med. 2012; 14: e4. https://doi.org/10.1017/s1462399411002110

16. Мышкин В.А., Бакиров А.Б., Репина Э.Ф., Тимашева Г.В., Хуснутдинова Н.Ю., Смолянкин Д.А. Изучение эффективности оксиметилурацила в качестве гепатозащитного средства. Медицина труда и экология человека. 2015; (2): 55–60. https://elibrary.ru/txzdzj

17. EC. Directive 2010/63/EU of the European Parliament and of the Council of 22 September 2010 on the protection of animals used for scientific purposes. Off. J. Eur. Union. 2010; 276: 33–79.

18. Репина Э.Ф., Гимадиева А.Р., Мышкин В.А., Бакиров А.Б., Тимашева Г.В., Хуснутдинова Н.Ю. и др. Антигипоксическая активность нового комплексного соединения оксиметилурацила с сукцинатом натрия. Токсикологический вестник. 2017; (2): 40–2. https://doi.org/10.36946/0869-7922-2017-2-40-42 https://elibrary.ru/yrmnxp

19. Репина Э.Ф., Мышкин В.А., Каримов Д.О., Тимашева Г.В., Хуснутдинова Н.Ю., Смолянкин Д.А. и др. Антигипоксическая активность комплексного соединения оксиметилурацила с аскорбиновой кислотой. Токсикологический вестник. 2018; (4): 20–3. https://doi.org/10.36946/0869-7922-2018-4-20-23 https://elibrary.ru/xygvqt

20. Репина Э.Ф., Бакиров А.Б., Каримов Д.О., Кудояров Э.Р., Тимашева Г.В., Мухаммадиева Г.Ф. Оценка антигипоксических свойств комплексного соединения оксиметилурацила с ацетилцистеином на модели гистотоксической гипоксии. Гигиена и санитария. 2022; 101(9): 1098–102. https://doi.org/10.47470/0016-9900-2022-101-9-1098-1102 https://elibrary.ru/zkhvyc

21. Dasari S., Ganjayi M.S., Meriga B. Glutathione S-transferase is a good biomarker in acrylamide induced neurotoxicity and genotoxicity. Interdiscip. Toxicol. 2018; 11(2): 115–21. https://doi.org/10.2478/intox-2018-0007

22. Zhang L., Zhang H., Miao Y., Wu S., Ye H., Yuan Y. Protective effect of allicin against acrylamide-induced hepatocyte damage in vitro and in vivo. Food Chem. Toxicol. 2012; 50(9): 3306–12. https://doi.org/10.1016/j.fct.2012.05.060

23. Glinghammar B., Rafter I., Lindström A.K., Hedberg J.J., Andersson H.B., Lindblom P., et al. Detection of the mitochondrial and catalytically active alanine aminotransferase in human tissues and plasma. Int. J. Mol. Med. 2009; 23(5): 621–31. https://doi.org/10.3892/ijmm_00000173

24. Green R.M., Flamm S. AGA technical review on the evaluation of liver chemistry tests. Gastroenterology. 2002; 123(4): 1367–84. https://doi.org/10.1053/gast.2002.36061

25. Gęgotek A., Skrzydlewska E. Ascorbic acid as antioxidant. Vitam. Horm. 2023; 121: 247–70. https://doi.org/10.1016/bs.vh.2022.10.008

26. Орлов Ю.П., Бутров А.В., Свиридов С.В., Афанасьев В.В., Кондратьев А.Н., Ценципер Л.М. и др. Сукцинат и сукцинатдегидрогеназа как «точка опоры» в цикле Кребса при критических состояниях. Антибиотики и химиотерапия. 2023; 68(1-2): 57–68. https://doi.org/10.37489/0235-2990-2023-68-1-2-57-68 https://elibrary.ru/ywnubc

27. Chaudhary P., Janmeda P., Docea A.O., Yeskaliyeva B., Abdull Razis A.F., Modu B., et al. Oxidative stress, free radicals and antioxidants: potential crosstalk in the pathophysiology of human diseases. Front. Chem. 2023; 11: 1158198. https://doi.org/10.3389/fchem.2023.1158198

28. Бакиров А.Б., Мышкин В.А., Репина Э.Ф., Каримов Д.О., Гимадиева А.Р., Тимашева Г.В. и др. Преодоление гепатотоксичности стойких органических загрязнителей: роль антиоксидантов пиримидиновой структуры. Гигиена труда и медицинская экология. 2016; (3): 3–18. https://elibrary.ru/yptdfl

29. Aldini G., Altomare A., Baron G., Vistoli G., Carini M., Borsani L., et al. N-Acetylcysteine as an antioxidant and disulphide breaking agent: the reasons why. Free Radic. Res. 2018; 52(7): 751–62. https://doi.org/10.1080/10715762.2018.1468564

30. Kerksick C., Willoughby D. The antioxidant role of glutathione and N-Acetyl-Cysteine Supplements and exercise-induced oxidative stress. J. Int. Soc. Sports Nutr. 2005; 2(2): 38–44. https://doi.org/10.1186/1550-2783-2-2-38

31. Мышкин В.А., Еникеев Д.А., Срубилин Д.В., Гимадиева А.Р. Экспериментальная оценка производных пиримидина на моделях токсического поражения печени: обзор. Научное обозрение. Медицинские науки. 2016; (3): 88–98. https://elibrary.ru/wlxigj

32. Wright D.J., Renoir T., Smith Z.M., Frazier A.E., Francis P.S., Thorburn D.R., et al. N-Acetylcysteine improves mitochondrial function and ameliorates behavioral deficits in the R6/1 mouse model of Huntington’s disease. Transl. Psychiatry. 2015; 5(1): e492. https://doi.org/10.1038/tp.2014.131

33. Gedik S., Erdemli M.E., Gul M., Yigitcan B., Bag H.G., Aksungur Z., et al. Hepatoprotective effects of crocin on biochemical and histopathological alterations following acrylamide-induced liver injury in Wistar rats. Biomed. Pharmacother. 2017; 95: 764–70. https://doi.org/10.1016/j.biopha.2017.08.139


Об авторах

Надежда Юрьевна Хуснутдинова
ФБУН «Уфимский научно-исследовательский институт медицины труда и экологии человека»
Россия

Научный сотрудник лаборатории токсикологии отдела токсикологии и генетики с экспериментальной клиникой лабораторных животных ФБУН «Уфимский НИИ медицины труда и экологии человека», 450106, г. Уфа, Россия

e-mail: h-n-yu@yandex.ru



Юлия Владимировна Рябова
ФБУН «Уфимский научно-исследовательский институт медицины труда и экологии человека»
Россия

Кандидат мед. наук, заведующий лабораторией токсикологии отдела токсикологии и генетики с экспериментальной клиникой лабораторных животных ФБУН «Уфимский НИИ медицины труда и экологии человека», 450106, г. Уфа, Россия

e-mail: ryabovaiuvl@gmail.com



Татьяна Георгиевна Якупова
ФБУН «Уфимский научно-исследовательский институт медицины труда и экологии человека»
Россия

Младший научный сотрудник лаборатории генетики отдела токсикологии и генетики с экспериментальной клиникой лабораторных животных ФБУН «Уфимский НИИ медицины труда и экологии человека», 450106, г. Уфа, Россия

e-mail: tanya.kutlina.92@mail.ru



Денис Олегович Каримов
ФБУН «Уфимский научно-исследовательский институт медицины труда и экологии человека»; ФГБНУ «Национальный НИИ общественного здоровья имени Н.А. Семашко»
Россия

Кандидат мед. наук, заведующий отделом токсикологии и генетики с экспериментальной клиникой лабораторных животных ФБУН «Уфимский НИИ медицины труда и экологии человека», 450106, г. Уфа, Россия

e-mail: karimovdo@gmail.com



Денис Анатольевич Смолянкин
ФБУН «Уфимский научно-исследовательский институт медицины труда и экологии человека»
Россия

Научный сотрудник лаборатории токсикологии отдела токсикологии и генетики с экспериментальной клиникой лабораторных животных ФБУН «Уфимский НИИ медицины труда и экологии человека», 450106, г. Уфа, Россия

e-mail: smolyankin.denis@yandex.ru



Айдар Ринатович Ахмадеев
ФБУН «Уфимский научно-исследовательский институт медицины труда и экологии человека»
Россия

Младший научный сотрудник лаборатории токсикологии отдела токсикологии и генетики с экспериментальной клиникой лабораторных животных ФБУН «Уфимский НИИ медицины труда и экологии человека», 450106, г. Уфа, Россия

e-mail: dgaar87@gmail.com



Александра Олеговна Хмель
ФБУН «Уфимский научно-исследовательский институт медицины труда и экологии человека»
Россия

Младший научный сотрудник лаборатории токсикологии отдела токсикологии и генетики с экспериментальной клиникой лабораторных животных ФБУН «Уфимский НИИ медицины труда и экологии человека», 450106, г. Уфа, Россия

e-mail: Khmel.al01@gmail.com



Эльвира Фаридовна Репина
ФБУН «Уфимский научно-исследовательский институт медицины труда и экологии человека»
Россия

Кандидат мед. наук, старший научный сотрудник лаборатории токсикологии отдела токсикологии и генетики с экспериментальной клиникой лабораторных животных ФБУН «Уфимский НИИ медицины труда и экологии человека», 450106, Уфа, Россия

e-mail: e.f.repina@bk.ru



Рецензия

Для цитирования:


Хуснутдинова Н.Ю., Рябова Ю.В., Якупова Т.Г., Каримов Д.О., Смолянкин Д.А., Ахмадеев А.Р., Хмель А.О., Репина Э.Ф. Изменение морфофункционального состояния печени под воздействием акриламида и на фоне коррекции комплексными соединениями оксиметилурацила в динамике. Токсикологический вестник. 2025;33(6):417-425. https://doi.org/10.47470/0869-7922-2025-33-6-417-425. EDN: npqehr

For citation:


Khusnutdinova N.Yu., Ryabova Yu.V., Yakupova T.G., Karimov D.O., Smolyankin D.A., Akhmadeev A.R., Khmel A.O., Repina E.F. Changes in the morphofunctional state of the liver under the influence of acrylamide and upon correction with complex compounds of oxymethyluracil in dynamics. Toxicological Review. 2025;33(6):417-425. (In Russ.) https://doi.org/10.47470/0869-7922-2025-33-6-417-425. EDN: npqehr

Просмотров: 16

JATS XML


Creative Commons License
Контент доступен под лицензией Creative Commons Attribution 4.0 License.


ISSN 0869-7922 (Print)
ISSN 3034-4611 (Online)