Preview

Токсикологический вестник

Расширенный поиск

Патоморфологические изменения в почках крыс при воздействии тиоацетамида и на фоне коррекции комплексным соединением оксиметилурацила с ацетилцистеином

https://doi.org/10.47470/0869-7922-2025-33-6-426-434

EDN: nwcwme

Содержание

Перейти к:

Аннотация

Введение. Тиоацетамид относится к высокотоксичным соединениям, вызывающим выраженные патологические изменения в органах и тканях. В условиях широкого применения химических веществ актуальной задачей остаётся поиск эффективных методов защиты организма от их негативного действия. Наиболее перспективной стратегией является разработка способов снижения токсического повреждения организма в результате воздействия химических веществ.

Материал и методы. Исследование выполнено на 56 аутбредных крысах-самцах в рамках хронического эксперимента длительностью 100 дней с промежуточным исследованием морфологических параметров на 50-й день. Животные были разделены на четыре группы (две контрольные и две экспериментальные): крысам второй (положительный контроль), третьей и четвёртой групп вводили два раза в неделю внутрибрюшинно тиоацетамид в дозе 50 мг/кг массы тела. Первой группе крыс (отрицательный контроль) вводили эквивалентный объём физиологического раствора аналогичным способом. За один час до токсиканта третьей экспериментальной группе вводили препарат сравнения адеметионин в дозе 25 мг/кг массы тела, четвёртой – комплексное соединение оксиметилурацила с ацетилцистеином в дозе 500 мг/кг массы тела. Эффективность коррекции оценивали по патоморфологическим изменениям в почках крыс.

Результаты. В середине эксперимента в почках крыс всех изучаемых групп не было установлено патологических изменений. К концу эксперимента под воздействием тиоацетамида наблюдались признаки повреждения паренхимы почек в виде зернистой дистрофии, набухания цитоплазмы эпителиальных клеток, сужения просветов канальцев и образования белковых включений. При коррекции комплексным соединением оксиметилурацила с ацетилцистеином патологические изменения в почках были менее выражены. Морфометрический анализ площади поперечного сечения проксимальных канальцев и площади ядер клеток подтвердил результаты гистологических исследований по группам.

Ограничения исследования. При длительном воздействии тиоацетамида гепатопротекторная эффективность препаратов оценивалась преимущественно по морфологическим признакам, однако для углублённой комплексной оценки коррекции токсического воздействия необходимо также учитывать биохимические и функциональные показатели.

Заключение. Хроническое поступление в организм крыс тиоацетамида в дозе 50 мг/кг массы тела оказывает нефротоксическое действие, которое снижается при введении в профилактическом режиме адеметионина и комплексного соединения оксиметилурацила с ацетилцистеином. По патоморфологическим признакам эффективность нефропротекторного действия комплексного соединения оксиметилурацила с ацетилцистеином выше, чем у адеметионина.

Соблюдение этических стандартов. Исследование было одобрено биоэтической комиссией ФБУН «Уфимский НИИ медицины труда и экологии человека» (протокол заседания № 01–02 от 08.02.2024).

Участие авторов:
Хмель А.О. – сбор и обработка материала, написание текста;
Якупова Т.Г., Мухаммадиева Г.Ф. Гизатуллина А.А. Хуснутдинова Н.Ю. – сбор и обработка материала;
Рябова Ю.В., Репина Э.Ф. – редактирование;
Каримов Д.О. – концепция и дизайн исследования, статистический анализ.
Все соавторы – утверждение окончательного варианта статьи, ответственность за целостность всех частей статьи.

Конфликт интересов. Авторы заявляют об отсутствии явных и потенциальных конфликтов интересов в связи с публикацией данной статьи.

Финансирование. Работа выполнена в рамках государственного задания по отраслевой научно-исследовательской программе Роспотребнадзора «Научное обоснование национальной системы обеспечения санитарно-эпидемиологического благополучия, управления рисками здоровью и повышения качества жизни населения России»» на 2021–2025 гг. п. 6.1.8, № гос. регистрации 121062100058–8.

Поступила в редакцию: 02 апреля 2025 / Поступила после исправления: 05 мая 2025 / Принята в печать: 25 ноября 2025 / Опубликована: 15 января 2026

Для цитирования:


Хмель А.О., Якупова Т.Г., Рябова Ю.В., Мухаммадиева Г.Ф., Каримов Д.О., Гизатуллина А.А., Хуснутдинова Н.Ю., Репина Э.Ф. Патоморфологические изменения в почках крыс при воздействии тиоацетамида и на фоне коррекции комплексным соединением оксиметилурацила с ацетилцистеином. Токсикологический вестник. 2025;33(6):426-434. https://doi.org/10.47470/0869-7922-2025-33-6-426-434. EDN: nwcwme

For citation:


Khmel A.O., Yakupova T.G., Ryabova Yu.V., Mukhammadieva G.F., Karimov D.O., Gizatullina A.A., Khusnutdinova N.Yu., Repina E.F. Pathomorphological changes in rat kidneys after exposure to thioacetamide and during treatment with a complex compound of oxymethyluracil and acetylcysteine. Toxicological Review. 2025;33(6):426-434. (In Russ.) https://doi.org/10.47470/0869-7922-2025-33-6-426-434. EDN: nwcwme

Введение

Тиоацетамид (амид тиоуксусной кислоты, далее – ТАА) представляет собой сероорганическое соединение с химической формулой C2H5NS, которое активно используется в различных сферах человеческой деятельности [1].

Известно, что ТАА токсичен для человека и животных. Новейшие исследования подтверждают токсичность ТАА, его способность вызывать выраженные патологические изменения в печени, почках и других органах, что обусловлено активацией процессов окислительного стресса и клеточной гибелью [2, 3].

ТАА чаще всего используют в качестве индуктора фиброзных изменений (цирроза) печени экспериментальных животных [4], однако важно учитывать тесную почечно-печёночную взаимосвязь. Их взаимодействие играет ключевую роль в поддержании гомеостаза организма, в том числе в регуляции артериального давления, детоксикации, метаболизме и выведении продуктов обмена. При патологиях печени нарушается портальное кровообращение, что может привести к повышению давления в воротной вене (портальной гипертензии). Это, в свою очередь, влияет на кровоснабжение почек и может вызвать их дисфункцию. Кроме того, печень метаболизирует многие химические вещества, которые затем выводятся почками. Нарушение функции одного из этих органов способно привести к дисфункции другого, что ярко проявляется при гепаторенальном синдроме [5], при котором нарушение функции печени вызывает почечную недостаточность без возможного органического поражения почек. Эта взаимосвязь подчёркивает необходимость комплексного подхода к оценке токсического воздействия гепатотропных ядов.

Эксперименты на животных подтвердили, что воздействие ТАА также приводит к структурным и функциональным изменениям в почках, в том числе дистрофии и некрозу эпителиальных клеток канальцев, нарушению архитектоники клубочков и развитию интерстициального фиброза [6]. В частности, исследователи отметили повышение отложения коллагена в мозговом веществе почек и накопление фибрина в канальцах, в результате чего развивались фиброзные изменения [7].

Одним из ключевых эффектов ТАА является гибель части клеток проксимальных почечных канальцев с последующей утратой их функциональной активности [8]. Введение ТАА вызывает нарушение функционального состояния почек, сопровождающееся массивной гибелью эпителиальных клеток канальцев, развитием воспалительной инфильтрации и застоем крови в гломерулах [9]. Кроме того, при воздействии TAA наблюдались выраженная инфильтрация тканей почек воспалительными клетками, дегенерация, склероз и некроз клубочков, интерстициальный фиброз, расширение канальцев с участками некротической ткани и слущиванием эпителия [10].

Исследователи подтверждают влияние ТАА на почки и предлагают различные подходы к снижению его токсичности. Так, например, было отмечено, что антиоксиданты, такие как таурин, способны уменьшать окислительный стресс и воспаление, вызванные ТАА [11]. Использование эритропоэтина в экспериментах с ТАА показало снижение апоптоза в клетках и улучшение функции почек [12]. Другие вещества (силимарин, ресвератрол) также демонстрируют защитные эффекты, способствуя регуляции воспалительных цитокинов и снижению клеточной гибели [13, 14].

Цель исследования – в условиях эксперимента изучить патоморфологические изменения в почках крыс при хроническом воздействии тиоацетамида на фоне коррекции адеметионином и новым соединением оксиметилурацила с ацетилцистеином.

Материал и методы

Исследование проведено в соответствии с Европейской конвенцией о защите позвоночных животных, используемых для экспериментов или в иных научных целях (ETS N 123), директивой Европейского парламента и Совета Европейского союза 2010/63/EC от 22.09.2010 г. о защите животных, использующихся для научных целей. Исследование одобрено биоэтической комиссией ФБУН «Уфимский НИИ медицины труда и экологии человека» (протокол заседания № 01–02 от 08.02.2024).

Для эксперимента были отобраны молодые здоровые половозрелые крысы-самцы, которых поровну распределили на контрольные и экспериментальные группы по весовому принципу. Идентификация животных выполнена методом индивидуальной метки.

Животных содержали в стандартных условиях вивария. В качестве контрольного вещества и носителя использовали физиологический раствор.

Эксперимент проводили в течение 100 дней с регистрацией показателей в сроки 50 и 100 дней. Начальная масса животных составляла 170–190 г. Всего в исследование было включено 56 особей.

В начале эксперимента составили четыре группы животных (две контрольные и две экспериментальные). Животным второй, третьей и четвёртой групп вводили два раза в неделю внутрибрюшинно ТАА в дозе 50 мг/кг массы тела. Дозировка ТАА была определена на основе анализа литературных данных. Поскольку влияние высоких доз ТАА изучено хорошо, дозировка была выбрана нами с учётом [15, 16] и исследований, в которых такие дозы использовались для оценки изменений на ранних стадиях развития патологических процессов [17]. Первой группе крыс (отрицательный контроль) вводили эквивалентный объём физиологического раствора аналогичным для экспериментальных групп способом. Вторая группа служила положительным контролем. Третьей экспериментальной группе за один час до ТАА вводили препарат сравнения адеметионин («Самеликс») с доказанными нефро- [18] и гепатопротекторными [19] свойствами в дозе 25 мг/кг массы тела, рекомендованной в качестве максимальной разовой в официальной инструкции по применению препарата (производитель ООО Фирма «Фермент», Россия). Четвёртой экспериментальной группе также за один час до ТАА вводили комплексное соединение 5-гидрокси-6-метилурацила с ацетилцистеином (МГ-10) в наиболее эффективной дозе – 500 мг/кг массы тела [20].

Вывод животных из эксперимента осуществляли методом эвтаназии с использованием углекислого газа. После вскрытия крыс производили внешний осмотр почек и определение их весовых коэффициентов.

Для гистологических исследований почки фиксировали в 10%-м нейтрально забуференном формалине, после чего подвергали стандартной гистологической проводке с заливкой в парафин. Из подготовленных парафиновых блоков изготавливали срезы толщиной 5–7 мкм на ротационном микротоме Leica RM 2125 RTS (Leica Biosystems, Германия). Окрашивание проводили гематоксилин-эозином. Полученные препараты визуализировали с использованием имиджинговой системы Celena X (Logos Biosystems, Южная Корея) при увеличении ×200 и ×400.

Морфометрический анализ тканей почек крыс проводили с помощью открытого программного обеспечения QuPath 0.5.1 для определения площади поперечного сечения проксимальных канальцев и площади ядер клеток, чтобы впоследствии количественно оценить степень повреждения тканей почек. Измерение площади поперечного сечения канальцев позволяет выявить структурные изменения, такие как отёк, атрофия, расширение или сужение канальцев, фиброз и другие патологические процессы, которые могли свидетельствовать о степени токсического воздействия. Одновременно с этим измерение площади ядер помогает оценить клеточные изменения – гипертрофию (увеличения размера ядер), атрофию, апоптоз или некроз. Полученные результаты сравнивали с показателями контрольной группы, чтобы подтвердить токсический эффект и оценить эффективность коррекции выбранных соединений.

Статистический анализ проводили с использованием программного обеспечения SPSS Statistics 21.0 (IBM, СШA). В качестве критерия нормальности распределения признаков в изучаемых группах использовали критерий Колмогорова – Смирнова. При нормальном распределении данных для оценки значимости различий между группами использовали однофакторный дисперсионный анализ (ANOVA) и апостериорные критерии Тьюки и Тамхейна. Данные представлены как среднее арифметическое и стандартная ошибка. Различия считали статистически значимыми при р < 0,05.

Результаты

При внешнем осмотре почек крыс контрольной группы на 50-й день была отмечена их типичная анатомическая форма, размеры и расположение в брюшной полости. Почки крыс, подвергшихся хроническому воздействию ТАА в дозе 50 мг/кг массы тела в течение 50 дней, также не выявили видимых патологических изменений органов. Однако при увеличении продолжительности воздействия ТАА до 100 дней изменился внешний вид органа: почки приобрели тусклый цвет, на разрезе органа границы между корковым и мозговым слоями стали трудноразличимыми. Обратно разрезанные края не сходились, что указывало на увеличение их объёма.

Средние значения весового коэффициента относительной массы (мг/кг) почек крыс на сроках 50 дней и 100 дней представлены на рис. 1, а, б. Между исследуемыми группами и контрольной группой не выявлено статистически значимых различий. Несмотря на видимое увеличение массы почек, различия между отрицательным и положительным контролем не достигли статистической значимости (р = 0,449). Относительная масса почек в четвёртой группе (ТАА + МГ-10) также не отличалась от контрольных значений (р = 0,235). При оценке изменений через 100 дней воздействия выявлено, что увеличение относительной массы почек в группе положительного контроля по сравнению с 50-дневным воздействием не достигло статистической значимости относительно отрицательного контроля (р = 0,095). В то же время в четвёртой группе показатель был значимо выше (р = 0,048). В остальных случаях статистически значимые различия между группами не выявлены.

На рис. 2 (см. на вклейке) представлены фотографии микропрепаратов почек крыс на 50-й день эксперимента. В контрольной группе (рис. 2, а, см. на вклейке) структура тканей оставалась без патологических изменений. При введении ТАА (рис. 2, б, см. на вклейке) архитектоника почек не изменялась. В группе, получавшей ТАА и коррекцию адеметионином (рис. 2, в, см. на вклейке), наблюдались незначительные изменения: скопление лейкоцитов и очаговая инфильтрация ткани (обозначено цифрой 1), но без дегенеративных процессов. В группе с воздействием ТАА и коррекцией соединением МГ-10 (рис. 2, г, см. на вклейке) структура почек соответствовала контрольной группе.

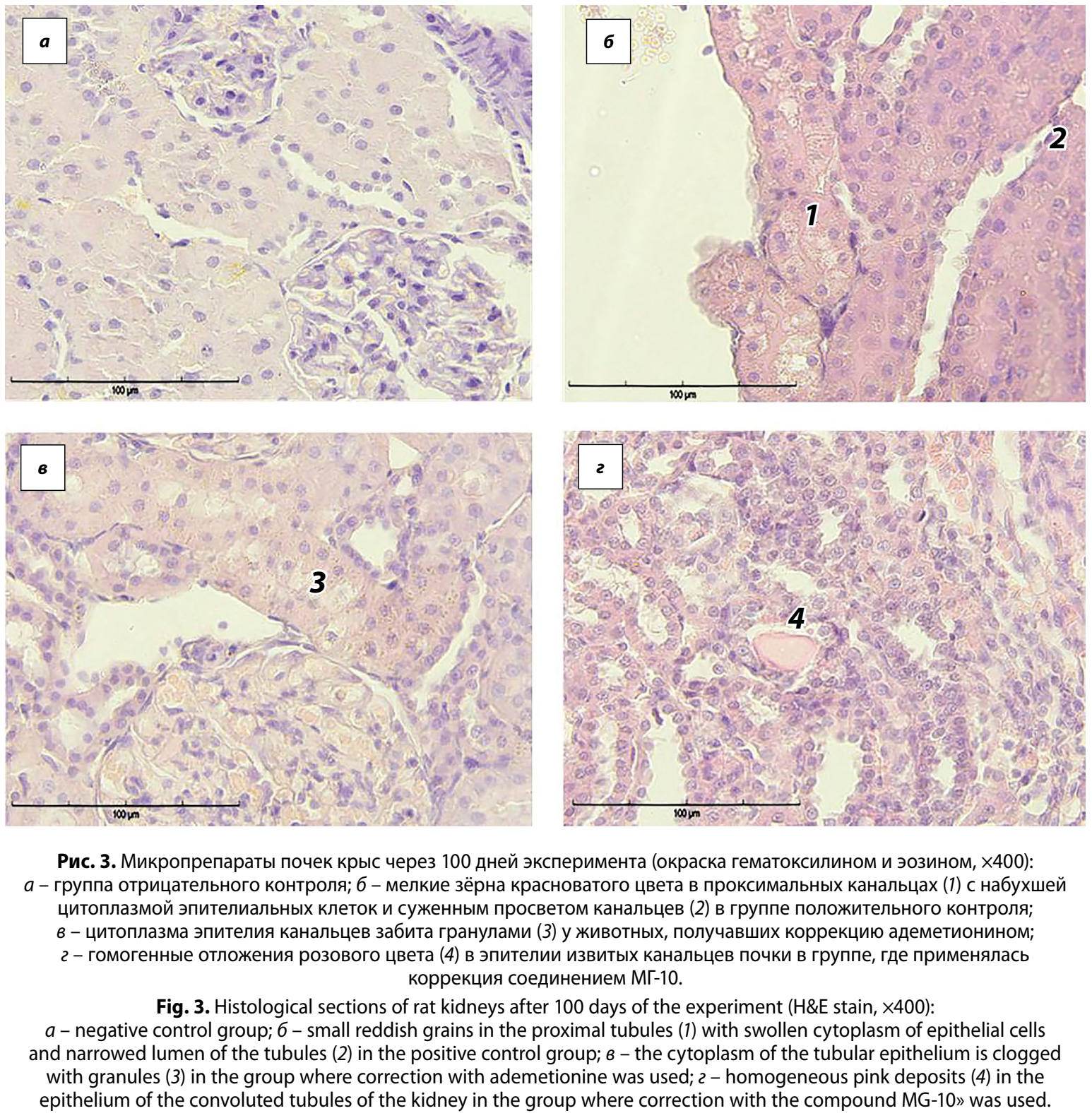
На рис. 3 (см. на вклейке) представлены фотографии микропрепаратов почек крыс в конце периода воздействия. Гистологическое исследование микропрепаратов контрольной группы показало, что ткани сохраняли нормальную морфологическую структуру без признаков патологических изменений (рис. 3, а, см. на вклейке).

Во второй группе крыс, подвергшихся воздействию ТАА, при детальном исследовании канальцев в корковом слое наблюдались признаки обширных патологических изменений (набухание и помутнение цитоплазмы эпителиальных клеток), была затруднена визуализация клеточных границ и очертаний ядер (рис. 3, б, см. на вклейке). При микроскопии с большим увеличением в цитоплазме клеток были обнаружены многочисленные мелкие включения (зёрна) розоватого цвета (обозначено цифрой 1). Просветы большинства канальцев были сужены (обозначено цифрой 2) и практически неразличимы. При этом структура почечных телец и сосудистых клубочков оставалась неизменной.

У крыс, получавших ТАА на фоне коррекции адеметионином, наблюдали помутнение цитоплазмы в большинстве канальцев, стёртость клеточных границ и сужение их просветов (рис. 3, в, см. на вклейке). При большом увеличении было видно, что почечные клубочки не претерпели изменений и имели умеренное кровенаполнение. В цитоплазме клеток наблюдались мелкие зерна красноватого цвета (обозначены цифрой 3), а в некоторых канальцах сохранялись просветы, хотя местами цитоплазма приобретала пенистый вид. Также были выявлены единичные участки лейкоцитарной инфильтрации.

У крыс, получавших ТАА на фоне коррекции соединением МГ-10 (рис. 3, г, см. на вклейке), сосудистые клубочки оставались без видимых изменений. Однако в цитоплазме клеток извитых канальцев обнаруживались мелкие розоватые включения. При большом увеличении в эпителиальных клетках фиксировались эозинофильные зерна. Извитые канальцы во всех полях зрения имели набухший эпителий, суженные просветы, а клеточные границы были слабо различимы. Дополнительно в мозговом слое почек выявлены единичные гомогенные отложения розового цвета в эпителии извитых канальцев (обозначены цифрой 4).

Результаты морфометрического анализа ядер клеток почек (мкм) через 50 и 100 дней воздействия представлены на рис. 4, а, б (см. на вклейке). Во всех экспериментальных группах отмечена тенденция к увеличению площади ядер по сравнению с отрицательным контролем, однако в положительном контроле различия не достигли статистической значимости (р = 0,244), как и в четвёртой группе (р = 0,244) тогда как в третьей группе увеличение было достоверным (р = 0,027). К 100-му дню воздействия ядерная гипертрофия стала статистически значимой в положительном контроле (р = 0,001) и сохранялась в третьей группе (р = 0,04). В четвёртой группе, подвергнутой интоксикации на фоне коррекции, увеличение размеров ядер также наблюдалось, однако значимых различий с контролем выявлено не было (р = 0,971).

Результаты морфометрического анализа площади поперечного сечения канальцев почек (мкм) через 50 и 100 дней воздействия представлены на рис. 5, а, б. Несмотря на выраженную тенденцию к увеличению изучаемого параметра в третьей группе по сравнению с отрицательным контролем, различия не были статистически значимыми (р = 0,702). Различия между положительным и отрицательным контролями также не достигли статистической значимости (р = 1,000), как и в четвёртой группе (р = 1,000). Через 100 дней воздействия была зафиксирована статистически значимая разница между третьей группой (ТАА + «Самеликс») и отрицательным контролем (р = 0,039), однако различия с четвёртой группой (р = 0,269) и положительным контролем (р = 0,467) не были значимыми. В других сравнениях статистически значимых различий не выявлено.

Обсуждение

Таким образом, в работе представлено комплексное изучение патоморфологических изменений тканей почек крыс при воздействии ТАА на фоне коррекции. Экспериментальные данные указывают на то, что хроническое воздействие ТАА приводит к заметным макроскопическим изменениям, характеризующимся увеличением размеров и изменением внешнего вида почек и свидетельствующим о потенциальном повреждении органа. Полученные результаты согласуются с данными литературы, которые подтверждают, что ТАА является нефротоксином, вызывающим дегенеративные и воспалительные процессы в почках, а его метаболиты могут накапливаться в почках и вызывать окислительный стресс, повреждение клеточных мембран и активацию воспалительных процессов [3, 21].

Весовой коэффициент относительной массы почек в группе животных, подвергшихся воздействию ТАА, был выше, чем в группе отрицательного контроля, однако различия не достигли статистической значимости. Коррекция соединением адеметионина и МГ-10 не оказала значительного влияния на снижение относительной массы почек, весовые коэффициенты в этих группах были сопоставимы с таковыми в группе ТАА и не имели значимых отличий.

При гистологической оценке микропрепаратов у всех групп, подвергшихся воздействию ТАА, к концу эксперимента были обнаружены признаки зернистой дистрофии почек, в том числе набухание цитоплазмы эпителиальных клеток, сужение просвета канальцев и наличие белковых включений [1]. При этом в группе, где применялось соединение МГ-10, патологические изменения были менее выражены, однако наблюдались гомогенные отложения в просвете канальцев, что может указывать на признаки начальной стадии гиалиново-капельной дистрофии или других схожих патологических изменений.

Морфометрический анализ показал прогрессирующее увеличение площади поперечного сечения канальцев и ядер с течением времени при воздействии ТАА. Эти изменения, вероятно, обусловлены гипертрофией клеток почечных канальцев в ответ на повреждение, а также отёком тканей почек. Гипертрофия клеток является адаптивным компенсаторным механизмом, направленным на поддержание почечной функции, особенно в условиях токсического стресса [9, 22].

Соединения адеметионина и МГ-10 продемонстрировали умеренный защитный эффект, снижая выраженность патологических изменений при воздействии на почки ТАА к концу эксперимента. Защитный эффект препарата «Самеликс», содержащего адеметионин, вероятно, обусловлен его антиоксидантной активностью, а также способностью восстанавливать повреждённые клетки за счёт улучшения метаболизма глутатиона и снижения выраженности окислительного стресса в тканях. Известно, что адеметионин способствует восстановлению повреждённых мембран клеток и поддержанию их функциональной целостности. Комплексное соединение 5-гидрокси-6-метилурацила с ацетилцистеином также может способствовать детоксикации организма, кроме того, он обладает антигипоксическими свойствами [23].

Ограничения исследования. При длительном воздействии тиоацетамида гепатопротекторная эффективность препаратов оценивалась преимущественно по морфологическим признакам, однако для углублённой комплексной оценки коррекции токсического воздействия необходимо также учитывать биохимические и функциональные показатели.

Заключение

Хроническое воздействие тиоацетамида в дозе 50 мг/кг массы тела вызывает значительные патоморфологические изменения в почках крыс. Повреждения паренхимы почек проявляются в виде зернистой дистрофии, набухания цитоплазмы эпителиальных клеток, сужения просветов канальцев и образования белковых включений, наиболее выраженных по 100 дней воздействия.

Адеметионин и соединение оксиметилурацила с ацетилцистеином проявляют защитный эффект, снижая выраженность патологических изменений. При этом соединение оксиметилурацила с ацетилцистеином оказалось наиболее эффективным средством медикаментозной коррекции повреждений, индуцированных тиоацетамидом.

Полученные результаты могут быть использованы при поиске и расширении арсенала фармакологических средств, обладающих низкой токсичностью и высокой антигипоксической активностью.

Список литературы

1. National Center for Biotechnology Information. PubChem Compound Summary for CID 2723949, Thioacetamide; 2024. Available at: https://pubchem.ncbi.nlm.nih.gov/compound/Thioacetamide

2. Ezhilarasan D. Molecular mechanisms in thioacetamide-induced acute and chronic liver injury models. Environ. Toxicol. Pharmacol. 2023; 99: 104093. https://doi.org/10.1016/j.etap.2023.104093

3. Lim J.Y., Jung W.W., Kim W., Moon K.S., Sul D. Nephrotoxicity evaluation and proteomic analysis in kidneys of rats exposed to thioacetamide. Sci. Rep. 2022; 12(1): 6837. https://doi.org/10.1038/s41598-022-11011-3

4. Кондратович И.А., Андреев В.П., Кравчук Р.И., Гуляй И.Э., Шалесная С.Я., Цыркунов В.М. Влияние ретинола на развитие тиоацетамид-индуцированного фиброза у крыс. Вестник Витебского государственного медицинского университета. 2021; 20(6): 23–34. https://doi.org/10.22263/2312-4156.2021.6.23 https://elibrary.ru/mbodgu

5. Герасимюк И., Пилипко И., Галицкая-Хархалис О. Особенности морфофункциональной перестройки сосудов почек при моделировании расстройств центральной и органной гемодинамики у крыс. В кн.: Actual Issues of Morphology. Кишинёв; 2012: 219–23. Доступно: https://ibn.idsi.md/vizualizare_articol/132360

6. Zargar S., Alonazi M., Rizwana H., Wani T.A. Resveratrol reverses thioacetamide‐induced renal assault with respect to oxidative stress, renal function, DNA damage, and cytokine release in Wistar rats. Oxid. Med. Cell. Longev. 2019; 2019: 1702959. https://doi.org/10.1155/2019/1702959

7. Al-Bader A.A., Mathew T.C., Abul H., Al-Mosawi M., Dashti H.M., Kumar D., et al. Thioacetamide induced changes in trace elements and kidney damage. J. Trace Elem. Exp. Med. 1999; 12(1): 1–14. https://vk.cc/cSE7fY

8. Barker E.A., Smuckler E.A. Nonhepatic thioacetamide injury: II. The morphologic features of proximal renal tubular injury. Am. J. Pathol. 1974; 74(3): 575.

9. Kadir F.A., Kassim N.M., Abdulla M.A., Yehye W.A. Effect of oral administration of ethanolic extract of Vitex negundo on thioacetamide-induced nephrotoxicity in rats. BMC Complement. Altern. Med. 2013; 13: 294. https://doi.org/10.1186/1472-6882-13-294

10. Pingili R.B., Pawar A.K., Challa S.R., Kodali T., Koppula S., Toleti V. Comprehensive review on hepatoprotective and nephroprotective activities of chrysin against various drugs and toxic agents. Chem. Biol. Interact. 2019; 308: 51–60. https://doi.org/10.1016/j.cbi.2019.05.010

11. Ghanim A.M.H., Farag M.R.T., Anwar M.A., Ali N.A.M., Hawas M.A., Elsallab H.M.E., et al. Taurine alleviates kidney injury in a thioacetamide rat model by mediating Nrf2/HO-1, NQO-1, and MAPK/NF-κB signaling pathways. Can. J. Physiol. Pharmacol. 2022; 100(4): 352–60. https://doi.org/10.1139/cjpp-2021-0488

12. Elbaset M.A., Mohamed B.M.S.A., Gad S.A., Sherif M.A., Tuba E., Sahar S.A., et al. Erythropoietin mitigated thioacetamide-induced renal injury via JAK2/STAT5 and AMPK pathway. Sci. Rep. 2023; 13(1): 14929. https://doi.org/10.1038/s41598-023-42210-1

13. Mekawy D.M., Sabry D., Sabry R.M., Abozeid N.F. Silymarin and MSC-exosomes ameliorate thioacetamide-evoked renal fibrosis by inhibiting TGF-β/SMAD pathway in rats. Mol. Biol. Rep. 2024; 51(1): 529. https://doi.org/10.1007/s11033-024-09343-6

14. Elnajjar N., Abdelrahman S.M., Marei A.M., Marei Y.M., Elsharkawey S. Prophylactic resveratrol ameliorates thioacetamide hepatotoxicity in a dose-dependent fashion through the regulation of gene expression levels of MiR-155 and MiR-21. Egypt. Acad. J. Biol. Sci., F Toxicol. Pest Control. 2022; 14(2): 157–70. https://doi.org/10.21608/eajbsf.2022.272162

15. Новогродская Я.И., Островская О.Б., Кравчук Р.И., Дорошенко Е.М., Гуляй И.Э., Алещик А.Ю. и др. Способ моделирования экспериментального тиоацетамидного поражения печени у крыс. Гепатология и гастроэнтерология. 2020; 4(1): 90–5. https://doi.org/10.25298/2616-5546-2020-4-1-90-95 https://elibrary.ru/zwhcjq

16. Muñoz Torres E., Paz Bouza J.I., López Bravo A., Abad Hernández M.M., Carrascal Marino E. Experimental thioacetamide-induced cirrhosis of the liver. Histol. Histopathol. 1991; 6(1): 95–100.

17. Kuramochi M., Izawa T., Kuwamura M., Yamate J. Involvement of neutrophils in rat livers by low-dose thioacetamide administration. J. Vet. Med. Sci. 2021; 83(3): 390–6. https://doi.org/10.1292/jvms.20-0581

18. Заморский И.И., Драчук В.М., Щудрова Т.С., Горошко А.М., Копчук Т.Г. Коррекция pабдомиолитичеcкого острого повреждения почек применением адеметионина. Биофизика. 2019; 64(5): 988–93. https://doi.org/10.1134/S0006302919050211 https://elibrary.ru/hggesi

19. Маев И.В., Праздников Э.Н., Бакирова Ю.В., Гончаренко А.Ю., Андреев Д.Н., Дичева Д.Т. Гепатопротекторный потенциал адеметионина: физиологическая роль и возможности клинического применения. Медицинский вестник МВД. 2013; (6): 67–72. https://elibrary.ru/rjzipf

20. Репина Э.Ф., Каримов Д.О., Якупова Т.Г., Хуснутдинова Н.Ю., Бакиров А.Б., Афанасьева А.А. и др. Экспрессия генов антиоксидантной защиты при хроническом воздействии акриламида и медикаментозной коррекции. Медицина труда и экология человека. 2024; (3): 163–75. https://doi.org/10.24412/2411-3794-2024-10310 https://elibrary.ru/asrhvg

21. Silva F.G. Chemical-induced nephropathy: a review of the renal tubulointerstitial lesions in humans. Toxicol. Pathol. 2004; 32(Suppl. 2): 71–84. https://doi.org/10.1080/01926230490457530

22. Выриков К.А., Клечиков В.З., Береснева О.Н. Гистохимическая характеристика проксимальных извитых канальцев при почечной недостаточности в экспериментальном и клиническом исследованиях. Нефрология. 1997; 1(2): 95–7. https://elibrary.ru/uyiesr

23. Репина Э.Ф., Гимадиева А.Р., Каримов Д.О., Кудояров Э.Р., Хуснутдинова Н.Ю., Тимашева Г.В. и др. Комплексное соединение 5-гидрокси-6-метилурацила с N-ацетилцистеином, проявляющее антигипоксическую активность, и способ его получения. Патент РФ № 2751632; 2021.


Об авторах

Александра Олеговна Хмель
ФБУН «Уфимский научно-исследовательский институт медицины труда и экологии человека»
Россия

Младший научный сотрудник лаборатории токсикологии отдела токсикологии и генетики с экспериментальной клиникой лабораторных животных ФБУН «Уфимский НИИ медицины труда и экологии человека», 450106, Уфа, Россия

e-mail: khmel.al01@gmail.com



Татьяна Георгиевна Якупова
ФБУН «Уфимский научно-исследовательский институт медицины труда и экологии человека»
Россия

Младший научный сотрудник лаборатории генетики отдела токсикологии и генетики с экспериментальной клиникой лабораторных животных ФБУН «Уфимский НИИ медицины труда и экологии человека», 450106, Уфа, Россия

e-mail: tanya.kutlina.92@mail.ru



Юлия Владимировна Рябова
ФБУН «Уфимский научно-исследовательский институт медицины труда и экологии человека»
Россия

Кандидат мед. наук, заведующий лабораторией токсикологии отдела токсикологии и генетики с экспериментальной клиникой лабораторных животных ФБУН «Уфимский НИИ медицины труда и экологии человека», 450106, Уфа, Россия

e-mail: ryabovaiuvl@gmail.com



Гузель Фанисовна Мухаммадиева
ФБУН «Уфимский научно-исследовательский институт медицины труда и экологии человека»
Россия

Кандидат биол. наук, старший научный сотрудник лаборатории генетики отдела токсикологии и генетики с экспериментальной клиникой лабораторных животных ФБУН «Уфимский НИИ медицины труда и экологии человека», 450106, Уфа, Россия

e-mail: ufniimt@mail.ru



Денис Олегович Каримов
ФБУН «Уфимский научно-исследовательский институт медицины труда и экологии человека»; ФГБНУ «Национальный научно-исследовательский институт общественного здоровья имени Н.А. Семашко»
Россия

Кандидат мед. наук, заведующий отделом токсикологии и генетики с экспериментальной клиникой лабораторных животных ФБУН «Уфимский НИИ медицины труда и экологии человека», 450106, Уфа, Россия; ведущий научный сотрудник отдела исследований общественного здоровья ФГБНУ «Национальный НИИ общественного здоровья имени Н.А. Семашко», 105064, Уфа, Россия

e-mail: karimovdo@gmail.com



Алина Анваровна Гизатуллина
ФБУН «Уфимский научно-исследовательский институт медицины труда и экологии человека»
Россия

Младший научный сотрудник лаборатории генетики отдела токсикологии и генетики с экспериментальной клиникой лабораторных животных ФБУН «Уфимский НИИ медицины труда и экологии человека», 450106, Уфа, Россия

e-mail: alinagisa@yandex.ru



Надежда Юрьевна Хуснутдинова
ФБУН «Уфимский научно-исследовательский институт медицины труда и экологии человека»
Россия

Научный сотрудник лаборатории токсикологии отдела токсикологии и генетики с экспериментальной клиникой лабораторных животных ФБУН «Уфимский НИИ медицины труда и экологии человека», 450106, Уфа, Россия

e-mail: h-n-yu@yandex.ru



Эльвира Фаридовна Репина
ФБУН «Уфимский научно-исследовательский институт медицины труда и экологии человека»
Россия

Кандидат мед. наук, старший научный сотрудник лаборатории токсикологии отдела токсикологии и генетики с экспериментальной клиникой лабораторных животных ФБУН «Уфимский НИИ медицины труда и экологии человека», 450106, Уфа, Россия

E-mail: e.f.repina@bk.ru



Рецензия

Для цитирования:


Хмель А.О., Якупова Т.Г., Рябова Ю.В., Мухаммадиева Г.Ф., Каримов Д.О., Гизатуллина А.А., Хуснутдинова Н.Ю., Репина Э.Ф. Патоморфологические изменения в почках крыс при воздействии тиоацетамида и на фоне коррекции комплексным соединением оксиметилурацила с ацетилцистеином. Токсикологический вестник. 2025;33(6):426-434. https://doi.org/10.47470/0869-7922-2025-33-6-426-434. EDN: nwcwme

For citation:


Khmel A.O., Yakupova T.G., Ryabova Yu.V., Mukhammadieva G.F., Karimov D.O., Gizatullina A.A., Khusnutdinova N.Yu., Repina E.F. Pathomorphological changes in rat kidneys after exposure to thioacetamide and during treatment with a complex compound of oxymethyluracil and acetylcysteine. Toxicological Review. 2025;33(6):426-434. (In Russ.) https://doi.org/10.47470/0869-7922-2025-33-6-426-434. EDN: nwcwme

Просмотров: 22

JATS XML


Creative Commons License
Контент доступен под лицензией Creative Commons Attribution 4.0 License.


ISSN 0869-7922 (Print)
ISSN 3034-4611 (Online)