Перейти к:
Гематологические и системные патологические нарушения у Danio rerio, вызываемые сублетальными концентрациями имидаклоприда
https://doi.org/10.47470/0869-7922-2025-33-6-484-492
EDN: kzfqdv
Аннотация
Введение. Нейроактивный инсектицид класса неоникотиноидов имидаклоприд активно применяется во всем мире для борьбы с различными насекомыми-вредителями. Высокая растворимость приводит к его попаданию в поверхностные и грунтовые воды, что особенно опасно для гидробионтов.
Цель исследования – оценка острой и подострой токсичности имидаклоприда на D. rerio, в том числе определение ЛК50, а также изучение влияния различных концентраций инсектицида на гематологические показатели рыб, генотоксичность и гистологические нарушения в жабрах, печени, туловищной почке и среднем отделе кишечника.
Материал и методы. В работе использовали стандартные для водной токсикологии методы определения полулетальной концентрации, также исследовали лейкоцитарную формулу, генотоксичность и изучали гистологические препараты D. rerio.
Результаты. Было установлено, что ЛК50⁹⁶ составляет 85,3 мг/л при доверительном интервале 76,16–96,98 мг/л. Изучены гематологические и гистопатологические изменения при подострой токсичности в диапазоне концентраций от 4 до 76 мг/л. Установлено, что имидаклоприд вызывает зависящее от концентрации снижение количества эритроцитов, увеличение лейкоцитов, лимфопению, а также рост числа моноцитов, нейтрофилов и базофилов. Обнаружено увеличение числа эритроцитов с ядерными аномалиями (деформированные (LN) 2.77‰ и разрезанные ядра (NN) 2.85‰) при концентрациях 38 и 76 мг/л. Выявлены гистологические изменения в жабрах (атрофия базального эпителия, отслоение респираторного эпителия), печени (расширение синусоидных капилляров, вакуолизация гепатоцитов) и почках (дилатация капилляров, некроз эпителия канальцев). Наиболее распространённым типом изменений тканей было нарушение циркуляции. В кишечнике наблюдалось увеличение числа бокаловидных клеток и интраэпителиальных лимфоцитов.
Ограничения исследования. Оценка токсического действия имидаклоприда проведена в рамках острого опыта. Дополнительные эксперименты с большей продолжительностью и на других лабораторных видах позволят более детально раскрыть механизмы токсического действия и связанные с ними гистопатологические нарушения.
Заключение. Полученные данные демонстрируют системное токсическое действие имидаклоприда в концентрациях более 19 мг/л на органы и ткани D. rerio.
Соблюдение этических стандартов. Исследование одобрено комиссией Комиссией Учёного совета по биоэтике ФГБОУ ВО МГУТУ им. К.Г. Разумовского, проведено в соответствии с Европейской конвенцией о защите позвоночных животных, используемых для экспериментов или в иных научных целях (ETS No 123), директивой Европейского парламента и Совета Европейского Союза 2010/63/EC от 22.09.2010 г. о защите животных, используемых для научных целей.
Участие авторов. Все соавторы внесли равнозначный вклад в исследование и подготовку статьи к публикации.
Конфликт интересов. Авторы заявляют об отсутствии явных и потенциальных конфликтов интересов в связи с публикацией данной статьи.
Финансирование. Исследование было выполнено при поддержке гранта Российского научного фонда (РНФ) № 23-16-00123.
Поступила в редакцию: 01 марта 2025 / Поступила после исправления: 30 апреля 2025 / Принята в печать: 25 ноября 2025 / Опубликована: 15 января 2026
Для цитирования:
Кочетков Н.И., Смородинская С.В., Никифоров-Никишин Д.Л., Медянкина М.В. Гематологические и системные патологические нарушения у Danio rerio, вызываемые сублетальными концентрациями имидаклоприда. Токсикологический вестник. 2025;33(6):484-492. https://doi.org/10.47470/0869-7922-2025-33-6-484-492. EDN: kzfqdv
For citation:
Kochetkov N.I., Smorodinskaya S.V., Nikiforov-Nikishin D.L., Medyankina M.V. Hematological and systemic pathological disorders in Danio rerio induced by sublethal concentrations of imidacloprid. Toxicological Review. 2025;33(6):484-492. (In Russ.) https://doi.org/10.47470/0869-7922-2025-33-6-484-492. EDN: kzfqdv
Введение
Интенсивное применение пестицидов в сельском хозяйстве, обоснованное необходимостью повышения урожайности, обусловливает существенное загрязнение наземных и водных экосистем [1]. Агрохимикаты обладают токсическим действием не только на целевые организмы (вредителей, патогены), но и на многие нецелевые виды (рыбы, личинки насекомых, амфибии), вызывая нарушения метаболизма, поведения, репродуктивной функции и эмбрионального развития [2]. Вследствие этого актуальны исследование токсичности и экотоксикологическая оценка отдельных пестицидов.
Нейроактивный инсектицид класса неоникотиноидов имидаклоприд активно применяется во всем мире для борьбы с различными насекомыми-вредителями [3, 4]. Высокая растворимость имидаклоприда в воде обусловливает его миграцию в поверхностные и грунтовые воды, аккумуляцию в водных экосистемах и, как следствие, потенциальную угрозу для гидробионтов. Было продемонстрировано, что имидаклоприд может оказывать иммунотоксическое [5], нейротоксическое [6] и мутагенное [3, 7] действие на млекопитающих и гидробионтов [8, 9]. Несмотря на значительный объём исследований, посвящённых оценке острой и хронической токсичности имидаклоприда для водных организмов, данные о подострой токсичности, индуцированной сублетальными концентрациями, и динамике развития патологических изменений у рыб остаются фрагментарными. Для системного понимания механизмов действия поллютантов необходимо комплексное изучение как краткосрочных эффектов, вызываемых высокими концентрациями, так и отдалённых последствий воздействия низких концентраций [10]. Рыбы D. rerio широко используются как модельный объект в токсикологических, фармакологических и биомедицинских исследованиях. Ряд исследований на D. rerio продемонстрировал негативное влияние имидаклоприда на репродуктивную функцию [11], поведение [12] и нейрохимические процессы [6]. Однако данные о влиянии этого пестицида, особенно в отношении системных гистопатологических изменений, остаются неполными. Гистологический анализ как важный инструмент токсикологических и экотоксикологических исследований на рыбах позволяет охарактеризовать патологический процесс и оценить потенциальные долгосрочные последствия воздействия [13]. Важно указать, что токсическое действие поллютантов может проявляться как в виде поражений отдельных органов-мишеней, так и в развитии системных нарушений, что зависит от концентрации и пути поступления в организм.
Цель работы – оценка острой и подострой токсичности имидаклоприда на D. rerio, в том числе определение ЛК50, а также изучение влияния различных концентраций инсектицида на гематологические показатели рыб, генотоксичность и гистологические нарушения в жабрах, печени, туловищной почке и среднем отделе кишечника.
Материал методы
D. rerio (wild type, дикий тип, возраст 4 мес) содержались в аквариумах объёмом 300 л по 200 особей в каждом, с системами механической и биологической фильтрации и подменой 10% объёма воды в сутки, при температуре плюс 24 °C, режиме освещённости (12 : 12 ч) и гидрохимических параметрах (pH 7.4 ± 0.2; O27.8 ± 0.1 г/м³; NH4< 0.05; NO2 0.14 ± 0.01 г/м³; NO3 3.2 ± 0.6 г/м³). Содержание и уход за рыбами соответствовали рекомендациям Westerfield [14]. До начала опыта рыбы получали корм Tetra Min Flakes XL (Melle, Germany). Для исследования отбирались особи обоих полов без видимых повреждений со средним размером 2,1 ± 0,2 см и массой 0,27 ± 0,15 г. Во время острого опыта кормление рыб не производилось.
Для определения летальных и сублетальных концентраций имидаклоприда (IMI) использовали показатель ЛК50 за 96 ч. Исследования производили согласно методике OECD Test no. 203 с некоторыми модификациями. Имидаклоприд (N-{1-[(6-хлор-3-пиридил)метил]-4,5-дигидроимидазол-2-ил}нитрамидел; CAS no. 138261-41-3) был приобретён у Chemenu Inc. (Shanghai, Китай). Диапазон номинальных концентраций для острого опыта подбирали исходя из литературных данных: 4; 9,5; 19; 38; 76; 154 и 308 мг/л [12]. Имидаклоприд обладает высокой растворимостью в воде и не требует применения растворителей. По данным литературы, имидаклоприд устойчив в водной среде [3, 4] при указанных сроках опыта (4 сут). Опыты для каждой экспериментальной группы (всего 8 групп) проводились в трёхкратной повторности в аквариумах объёмом 50 л, в которые помещали по 20 особей D. rerio (n = 20 × 3). Гидрохимические условия в опытных аквариумах на начало острого опыта соответствовали аквариумам содержания. На протяжении опыта контролировали изменения в поведении, клинические признаки и смертность рыб. После завершения опыта из растворов с концентрацией ниже ЛК50 за 96 ч (76 мг/л и далее) из каждой группы отбирали по шесть особей для забора крови (n = 6). Перед отбором биологического материала рыба анестезировалась в растворе MS-222 (20 мг/л) в течение трёх минут. Забор крови для приготовления препаратов периферической крови производился из задней полой вены согласно ранее описанной методике [15]. Количество эритроцитов в крови определяли по методам, описанным P.C. Blaxhall и K.W. Daisley [16]. Приготовленные препараты окрашивали по May – Grünwald – Giemsa, на готовых мазках выполняли подсчёт эритроцитов и их незрелых форм, лимфоцитов, моноцитов, нейтрофилов, базофилов и тромбоцитов. Минимальное количество просмотренных клеточных элементов на одном препарате составляло не менее 10 000. На приготовленных препаратах периферической крови рыб производили подсчёт эритроцитов, обладающих выраженными нарушениями, согласно методикам, приведённым в работах E. Bagdonas и соавт., M.Z. Vosylienė и соавт. [17, 18]. Наряду с микроядрами (micro nuclei, MN) учитывали следующие аномалии: разрезанное ядро (notched nuclei, NN), деформированное ядро (lobbed nuclei, LN) и прикреплённое ядро (blebed nuclei, BN). Выявление нескольких типов ядерных аномалий позволяет повысить достоверность оценки генотоксичности [15]. Для точного определения микроядер и других ядерных аномалий использовали ряд отличительных характеристик: одинаковая морфология ядра и микроядра, малая удалённость от ядра, размер от 1/16 до 1/3 ядра, минимальное отличие по цвету от ядра [19]. Минимальное количество просмотренных эритроцитов на одном препарате составляло не менее 8 000 клеток. Для изготовления гистологических срезов из каждой группы отбирали по четыре особи, из которых изготавливали по три серийных тотальных среза во фронтальной плоскости. Приготовление и окраску гистологических препаратов выполняли согласно общепринятой методике S.K. Suvarna и соавт. [20]. Образцы промывали в проточной воде и проводили через ряд последовательно возрастающих концентраций этанола (70% – 1 ч, 80% – 1 ч, 95% – 1 ч и 99% – два раза по 1 ч) (Citadel 2000, Thermo FS, США). После этого образцы просветляли в ксилоле в течение 1,5 ч и выполняли заливку в парафин. Микротомные срезы (Minux S700A, RWD Life Science, Китай) толщиной 4 мкм окрашивали гематоксилином и эозином (H&E). Полученные препараты просматривали под световым микроскопом Olympus BX53 (Olympus Corporation, Япония, Токио) с окулярными насадками Carl Zeiss ERc 5s (Zeiss, Германия, Оберкохен) и ToupCam 16.0 MP (ToupTek Photonics, Китай) с использованием программного обеспечения ZEN lite (Zeiss, Германия) и ToupCam view 16.0 (ToupTek Photonics, Китай). Adobe Photoshop 2024 (Adobe Systems, Сан-Хосе, Калифорния, США) использовался для настройки таких параметров изображений, как яркость, контрастность и баланс освещённости.
Данные сравнения анализируемых переменных представлены в виде среднего ± стандартное отклонение (M ± sd). Для определения ЛК50 использовали нелинейную регрессию с переменным наклоном кривой «доза – эффект». Ответ (смертность) нормализовали относительно контроля (100%) и минимального ответа (0%), концентрации были преобразованы в десятичный логарифм (log10). Статистическая достоверность определялась с использованием параметрических (one-way ANOVA c post-hoc тестом Тьюки) и непараметрических (тест Краскела – Уоллиса) тестов в зависимости от распределения данных и однородности вариаций (тесты Шапиро – Уилка и Левена). Значение p < 0,05 было принято как статистически достоверное. Обработка статистических данных производилась с использованием GraphPad Prism v 9.0 (GraphPad, San Diego, CA, СШA) и в среде RStudio (v 3.6.0; RStudio, PBC, Boston, MA), языка программирования R (v 4.4.3; R Core Team, 2025).
Результаты
По результатам острого опыта было установлено, что концентрации имидаклоприда 154 и 308 мг/л приводят к гибели рыб за 24–48 ч опыта (табл. 1, рис. 1, б, см. на вклейке). Концентрация 76 мг/л приводила к значимой гибели рыб через 72 ч опыта. При концентрациях < 38 мг/л наблюдалась единичная гибель рыб.


По результатам острого опыта в широком спектре концентраций имидаклоприда полулетальная концентрация для взрослых особей D. rerio составила 85,3 мг/л при доверительном интервале (CI) 76,1–96,9 (рис. 1, а, см. на вклейке).
Гематологические исследования. Для изучения влияния имидаклоприда на гематологические и гистологические показатели были использованы рыбы, экспонированные опытными концентрациями ниже ЛК50 (< 76 мг/л). Было выявлено, что у рыб, экспонированных имидаклопридом в высоких концентрациях (19, 38 и 76 мг/л), достоверно (p < 0,05) снижается количество эритроцитов и увеличивается число лейкоцитов в крови (табл. 2). Также было выявлено значительное снижение относительного числа незрелых эритроцитов (рис. 2, а, см. на вклейке) у рыб, экспонированных в концентрациях выше 9,5 мг/л. При этом относительное число лейкоцитов в мазках крови увеличивалось с ростом концентрации поллютанта (9,5–76 мг/л), демонстрируя достоверные различия с контролем и с изменениями при концентрации имидаклоприда 4 мг/л.


В лейкоцитарной формуле D. rerio наблюдались существенные сдвиги при действии сублетальных концентраций имидаклоприда. Было выявлено достоверное (p < 0,05) снижение относительного числа лимфоцитов в крови (рис. 2, б, см. на вклейке) при концентрациях токсиканта > 9,5 мг/л. При этом у данных особей также наблюдался рост относительного количества моноцитов, нейтрофилов и базофилов (рис. 2, в, г, д, см. на вклейке). В частности, у рыб, экспонированных концентрациями 38 и 76 мг/л, количество нейтрофилов составило 10,9 и 13,3%, что значительно (p < 0,01) превышает показатели контроля. Число тромбоцитов находилось на одном уровне во всех экспериментальных группах. По результатам гематологических исследований установлено, что концентрации имидаклоприда > 9,5 мг/л вызывают значительные сдвиги в лейкоцитарной формуле рыб.
Для оценки возможного генотоксического эффекта имидаклоприда были исследованы ядерные нарушения эритроцитов (табл. 3). Установлено, что поллютант в концентрациях 38 и 76 мг/л приводит к существенному росту (p < 0.05) встречаемости эритроцитов с деформированными (LN) и разрезанными ядрами (NN) (рис. 2, е, ж, см. на вклейке) в 2,7–3,1 и 1,6–1,9 раза соответственно. При этом относительные количества эритроцитов с микроядрами (MN) и прикреплёнными ядрами (BN) (рис. 2, з, и, см. на вклейке) находились на уровне контроля во всех опытных группах. Общее число ядерных аномалий (TNA) в крови рыб при концентрациях 38 и 76 мг/л составило 9,1 и 9,6‰, что значительно выше показателя контроля – на 41,6 и 48,1% соответственно. Таким образом, концентрации 38 и 76 мг/л оказывают выраженное генотоксическое действие.

Гистологические исследования. Были выявлены изменения во всех изучаемых органах рыб. В жабрах при действии концентраций имидаклоприда > 9,5 мг/л, наблюдалось уменьшение толщины базального эпителия жабр, который имел признаки атрофии (рис. 3, а, см. на вклейке). Данные клетки в сравнении с контролем имели уплощённую форму и располагались более хаотично. Действие концентрации 38 и 76 мг/л на ткани жабр выражалось в появлении участков отслоения респираторного эпителия вторичных ламелл (рис. 3, б, см. на вклейке). Также у данных особей наблюдалось увеличение размеров и встречаемости хлоридных клеток у основания вторичных ламелл (рис. 3, в, см. на вклейке).

В ткани печени изменения наблюдались начиная с концентрации 9,5 мг/л, при действии которой в органе были обнаружены участки расширения синусоидных капилляров (рис. 3, г, см. на вклейке), преимущественно расположенные вблизи крупных сосудов (рис. 3, д, см. на вклейке). При действии более высоких концентраций (19–76 мг/л) синусоидные капилляры были значительно расширены и заполнены большим числом эритроцитов (рис. 3, е), данное изменение было распространено по всей площади изученных срезов. Также у некоторых изученных рыб (n = 3) при действии концентраций 38 и 76 мг/л наблюдалась выраженная вакуолизация гепатоцитов и отдельные гепатоциты с пикнотическими ядрами (рис. 3, ж, см. на вклейке).
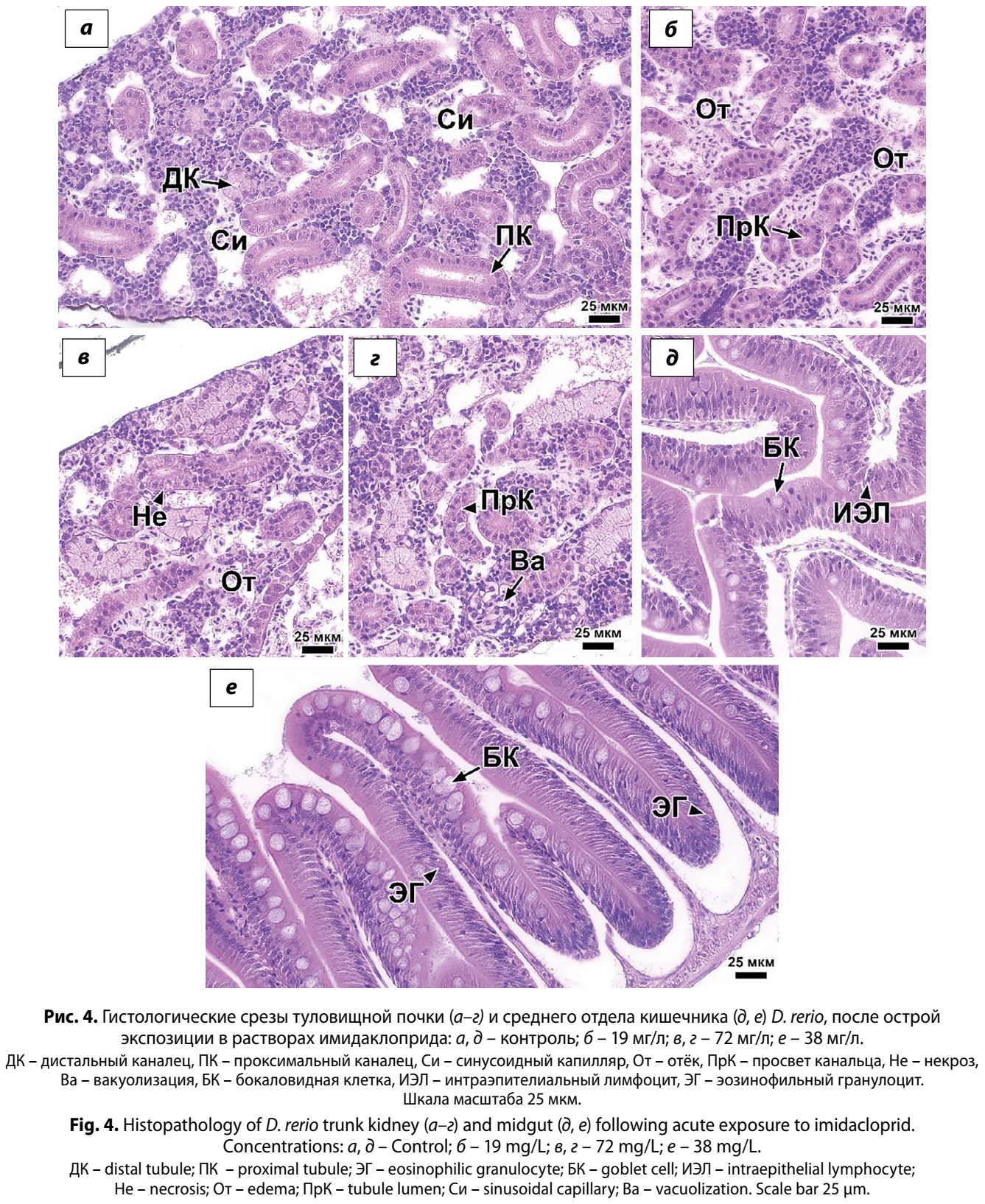
В ткани туловищной почки были выявлены наиболее значимые изменения. При действии концентрации 9,5 мг/л наблюдалось значительное расширение синусоидных капилляров, которые были заполнены хромофобным содержимым (рис. 4, а, см. на вклейке). В более высоких концентрациях дилатация капилляров, заполненных эритроцитами и эозинофильным гомогенным содержимым (отёк), приводила к деформации почечных канальцев и гемопоэтической ткани (рис. 4, б, см. на вклейке). При этом у большей части почечных канальцев наблюдалось сужение просвета. В ткани почки при действии максимальной изучаемой концентрации имидаклоприда были выявлены некроз кубического эпителия проксимальных канальцев (рис. 4, в, см. на вклейке), а также вакуолизация эпителия отдельных клубочков капилляров (рис. 4, д, см. на вклейке).

В ткани среднего отдела кишечника D. rerio изменения при действии имидаклоприда выражались в увеличении числа бокаловидных клеток и интраэпителиальных лимфоцитов (рис. 4, д, см. на вклейке). Данные изменения были наиболее выражены у рыб, экспонированных в концентрациях более 9,5 мг/л. При действии концентраций 38 и 76 мг/л в кишечнике D. rerio наряду с описанными выше изменениями наблюдалось увеличение встречаемости эозинофильноподобных клеток в слизистой и собственной оболочке слизистой (рис. 4, е, см. на вклейке).
Обсуждение
Первоначально предполагалось, что имидаклоприд селективно токсичен для беспозвоночных и не оказывает значимого воздействия на другие организмы. Однако многочисленные исследования демонстрируют системное токсическое действие данного инсектицида на рыб. Полученные в настоящей работе результаты исследования острой токсичности имидаклоприда согласуются с данными, представленными ранее для D. rerio [12], Labeo rohita [21] и Oreochromis niloticus [22]. Незначительные расхождения в значениях летальных концентраций, вероятно, обусловлены различиями в чистоте используемого вещества и индивидуальной чувствительностью подопытных рыб [5]. Динамика смертности D. rerio в эксперименте свидетельствует о том, что концентрации имидаклоприда, превышающие 76 мг/л, вызывают острую токсичность, приводя к гибели рыб в течение 24–48 часов экспозиции. Высокие дозы токсиканта вызывают наиболее выраженные функциональные и структурные нарушения внутренних органов рыб. Изучение токсического действия поллютантов в концентрациях, близких к ЛК50, позволяет исследовать зависимость развития патологических изменений от концентрации исследуемого вещества. Имидаклоприд в концентрациях 38 и 76 мг/л приводит к достоверному уменьшению числа эритроцитов и увеличению числа лейкоцитов в крови. При этом в лейкоцитарной формуле при действии концентраций более 19 мг/л наблюдалась относительная лимфопения при росте числа моноцитов, нейтрофилов и базофилов. Развитие при действии IMI выраженного воспалительного процесса, сопровождаемого ростом количества лейкоцитов и изменениями их соотношения, ранее отмечено в работах [21 23]. Одним из механизмов действия IMI является повреждение тканей посредством увеличения концентрации активных форм кислорода, что сопровождается развитием воспалительной реакции организма [24], а снижение количества эритроцитов при уменьшении их незрелых форм может указывать на уменьшение дыхательной активности, что опосредовано действием IMI на осморегуляторную функцию крови (например, повышение концентрации Na+, K+, Ca+ и снижение Cl−) и гемолизом эритроцитов [21]. Полученные результаты подтверждаются увеличением количества хлоридных клеток в жабрах D. rerio и уменьшением просвета почечных канальцев, которые играют важную роль в поддержании водно-солевого баланса. Генотоксическое и мутагенное действие IMI широко документировано в научной литературе, [5, 7, 25]. Обнаружённый в настоящей работе генотоксический эффект характеризуется тем, что высокие концентрации инсектицида вызывали увеличение числа ядерных аномалий (LN и NN), но не оказывали существенного влияния на частоту микроядер в эритроцитах. Эта специфичность действия IMI может быть обусловлена несколькими факторами: ограниченной продолжительностью воздействия, влиянием на различные стадии эритропоэза, а также особенностями механизма действия. В частности, формирование ядерных аномалий эритроцитов связано, прежде всего, с нарушениями процессов репарации ДНК и повреждениями ядерной мембраны, в то время как микроядра образуются в результате хромосомных аберраций, возникающих при делении клетки [18, 19]. Подобные результаты также были получены в исследовании X. Hong и соавт. [7], где низкие концентрации IMI (0,1, 0,5 и 2 мг/л) приводили к значимому увеличению встречаемости ядерных аномалий эритроцитов у Gobiocypris rarus.
Нарушение циркуляции было наиболее распространённым изменением в тканях особей D. rerio, подвергшихся воздействию IMI. На гистологических срезах жабр, печени и почек наблюдались выраженные признаки отёка и застойных явлений. К основным механизмам токсического действия имидаклоприда относятся имитация действия ацетилхолина с последующим нарушением нервной передачи, окислительный стресс, дисфункция митохондрий и нарушение энергетического обмена [3]. Более высокие концентрации поллютанта также приводили к регрессивным изменениям в тканях печени и почек D. rerio (некроз гепатоцитов и эпителия канальцев), что согласуется с результатами, полученными на рыбах другими исследователями [11, 24]. На основании имеющихся научных данных о токсическом действии IMI можно предположить, что чрезмерная активация никотиновых ацетилхолиновых рецепторов [6] и (или) активная генерация активных форм кислорода [26] приводят к высвобождению ряда вазоактивных веществ (оксида азота, эндотелинов), что, в свою очередь, сопровождается развитием воспалительной реакции и иммунного ответа. В совокупности эти процессы приводят к вазодилатации, повышению проницаемости и повреждению эндотелия сосудов. Следует отметить, что выявленные изменения в тканях носили выраженный дозозависимый характер, прогрессируя от локальных нарушений в отдельных органах до системных изменений. Изменения, обнаруженные в кишечнике рыб, предположительно носят адаптивный характер, проявляющийся в реакции слизистой оболочки на присутствие токсиканта в просвете кишечника. Ранее подобные изменения наблюдались при воздействии различных поллютантов, в том числе инсектицидов [27, 28]. При этом попадание пестицидов в водоёмы, как правило, носит залповый характер, и высокие концентрации сохраняются в воде непродолжительное время. По этой причине гематологические показатели рыб наиболее точно характеризуют действие токсиканта, а гистологические изменения связаны с системным токсическим действием на организм гидробионта.
Ограничения исследования. Оценка токсического действия имидаклоприда проведена в рамках острого опыта. Дополнительные эксперименты с большей продолжительностью и на других лабораторных видах позволят более детально раскрыть механизмы токсического действия и связанные с ними гистопатологические нарушения.
Заключение
Следует отметить, что механизмы токсического действия неоникотиноидных инсектицидов на рыб сложны и недостаточно изучены. Для получения более подробных данных о гистопатологических изменениях и системном токсическом действии инсектицида необходимы дальнейшие исследования с применением современных молекулярно-биологических методов. Считается, что неоникотиноиды практически не оказывают негативного воздействия на позвоночных животных, но результаты данного исследования показывают, что использование этих веществ сопряжено с экологическими рисками для всех звеньев водных экосистем. Полученные данные о негативном воздействии имидаклоприда говорят о необходимости более тщательного контроля его содержания в водной среде, в том числе с использованием биологического мониторинга.
Выводы
- Полулетальная концентрация (ЛК50⁹⁶) имидаклоприда для взрослых особей D. rerio составляет 85,3 мг/л (95% доверительный интервал: 76,16–96,98 мг/л).
- Имидаклоприд в концентрациях ≥ 19 мг/л вызывает значимые изменения гематологических показателей D. rerio: снижение числа эритроцитов, лейкоцитоз, относительную лимфопению и увеличение числа моноцитов, нейтрофилов и базофилов.
- Воздействие имидаклоприда в концентрациях 38 и 76 мг/л приводит к увеличению числа эритроцитов с ядерными аномалиями (преимущественно деформированными и разрезанными ядрами), что свидетельствует о генотоксическом эффекте.
- Острая токсичность имидаклоприда проявляется в виде гистопатологических изменений в жабрах (атрофия и отслоение эпителия), печени (расширение синусоидов и вакуолизация гепатоцитов) и почках (дилатация капилляров и некроз эпителия канальцев).
- Имидаклоприд оказывает системное токсическое действие на D. rerio, которое выражается в изменениях гематологических показателей и повреждениях внутренних органов.
- Концентрация имидаклоприда 9,5 мг/л не вызывала острых токсических эффектов (летальности, гематологических и гистологических нарушений) у D. rerio в условиях данного эксперимента.
Список литературы
1. Светашева Д.Р., Колмыков Е.В., Зубанов С.А., Умербаева Р.И. Оценка качества водной среды устьевой области р. Волги по комплексным показателям в 2020 г. Астраханский вестник экологического образования. 2021; (5): 54–64. https://doi.org/10.36698/2304-5957-2021-5-54-64 https://elibrary.ru/zaffkb
2. Korkmaz V., Güngördü A., Ozmen M. Comparative evaluation of toxicological effects and recovery patterns in zebrafish (Danio rerio) after exposure to phosalone-based and cypermethrin-based pesticides. Ecotoxicol. Environ. Saf. 2018; 160: 265–72. https://doi.org/10.1016/j.ecoenv.2018.05.055
3. Mikolić A., Karačonji I.B. Imidacloprid as reproductive toxicant and endocrine disruptor: investigations in laboratory animals. Arh. Hig. Rada Toksikol. 2018; 69(2): 103–8. https://doi.org/10.2478/aiht-2018-69-3144
4. Jeschke P., Nauen R., Schindler M., Elbert A. Overview of the status and global strategy for neonicotinoids. J. Agric. Food Chem. 2011; 59(7): 2897–908. https://doi.org/10.1021/jf101303g
5. Naiel M.A., Shehata A.M., Negm S.S., Abd El‐Hack M.E., Amer M.S., Khafaga A.F., et al. The new aspects of using some safe feed additives on alleviated imidacloprid toxicity in farmed fish: a review. Rev. Aquacult. 2020; 12(4): 2250–67. https://doi.org/10.1111/raq.12432
6. Faria M., Bedrossiantz J., Prats E., Garcia X.R., Gómez-Canela C., Piña B., et al. Deciphering the mode of action of pollutants impairing the fish larvae escape response with the vibrational startle response assay. Sci. Total Environ. 2019; 672: 121–8. https://doi.org/10.1016/j.scitotenv.2019.03.469
7. Hong X., Zhao X., Tian X., Li J., Zha J. Changes of hematological and biochemical parameters revealed genotoxicity and immunotoxicity of neonicotinoids on Chinese rare minnows (Gobiocypris rarus). Environ. Pollut. 2018; 233: 862–71. https://doi.org/10.1016/j.envpol.2017.12.036
8. Бахтиярова З.Р., Маллябаева М.И., Балакирева С.В. Экологические аспекты влияния имидаклоприда на водные организмы. Химия. Экология. Урбанистика. 2018; 2018: 39–43. https://elibrary.ru/yxbhps
9. Маллябаева М.И., Балакирева С.В., Тюмкина Т.В., Кузнецова Г.М., Яныбин В.М. Оценка воздействия имидаклоприда на некоторые гео- и гидробионты в Республике Башкортостан. Экологическая химия. 2020; 29(2): 94–100. https://elibrary.ru/vtnvhf
10. Кочетков Н.И., Климов В.А., Калита Т.Л., Горбунов А.В., Минаенко А.П. Влияние острой токсичности бисфенола А на поведение и локомоторную активность Danio rerio. Вестник Астраханского государственного технического университета. Серия: Рыбное хозяйство. 2024; (4): 87–96. https://doi.org/10.24143/2073-5529-2024-4-87-96 https://elibrary.ru/orvxkc
11. Akbulut C. Acute exposure to the neonicotinoid insecticide Imidacloprid of Zebrafish (Danio rerio) Gonads: a histopathological approach. Ann. Limnol. – Int. J. Lim. 2021; 57: 23. https://doi.org/10.1051/limn/2021021
12. Wu S., Li X., Liu X., Yang G., An X., Wang Q., et al. Joint toxic effects of triazophos and imidacloprid on zebrafish (Danio rerio). Environ. Pollut. 2018; 235: 470–81. https://doi.org/10.1016/j.envpol.2017.12.120
13. Wolf J.C., Wheeler J.R. A critical review of histopathological findings associated with endocrine and non-endocrine hepatic toxicity in fish models. Aquat. Toxicol. 2018; 197: 60–78. https://doi.org/10.1016/j.aquatox.2018.01.013
14. Westerfield M. The Zebrafish Book. A Guide for the Laboratory Use of Zebrafish (Danio rerio). Eugene: University of Oregon Press; 2000.
15. Kochetkov N.I., Smorodinskaya S.V., Nikiforov-Nikishin D.L., Klimov V.A., Golovacheva N.A., Nikiforov-Nikishin A.L., et al. Evaluating possible genotoxicity of three feed additives recommended for aquaculture by using micronucleus test on Danio rerio erythrocytes. Vestnik of Astrakhan State Technical University. Series: Fishing industry. 2022; (3): 48–59. https://doi.org/10.24143/2073-5529-2022-3-48-59 https://elibrary.ru/bsckrl
16. Blaxhall P.C., Daisley K.W. Routine haematological methods for use with fish blood. J. Fish Biol. 1973; 5(6): 771–81. https://doi.org/10.1111/j.1095-8649.1973.tb04510.x
17. Bagdonas E., Vosylienė M.Z. A study of toxicity and genotoxicity of copper, zinc and their mixture to rainbow trout (Oncorhynchus mykiss). Biologija. 2006; 52(1).
18. Bolognesi C., Hayashi M. Micronucleus assay in aquatic animals. Mutagenesis. 2010; 26(1): 205–13. https://doi.org/10.1093/mutage/geq073
19. Sula E., Aliko V., Pagano M., Faggio C. Digital light microscopy as a tool in toxicological evaluation of fish erythrocyte morphological abnormalities. Microsc. Res. Tech. 2020; 83(4): 362–9. https://doi.org/10.1002/jemt.23422
20. Suvarna S.K., Layton C., Bancroft J.D. Bancroft’s Theory and Practice of Histological Techniques E-Book. Amsterdam: Elsevier Health Sciences; 2018.
21. Qadir S., Latif A., Ali M., Iqbal F. Effects of imidacloprid on the hematological and serum biochemical profile of Labeo rohita. Pakistan Journal of Zoology. 2014; 46(4): 1085–90.
22. Acar Ü., İnanan B.E., Zemheri F., Kesbiç O.S., Yılmaz S. Acute exposure to boron in Nile tilapia (Oreochromis niloticus): Median-lethal concentration (LC50), blood parameters, DNA fragmentation of blood and sperm cells. Chemosphere. 2018; 213: 345–50. https://doi.org/10.1016/j.chemosphere.2018.09.063
23. Américo-Pinheiro J.H.P., da Cruz C., Aguiar M.M., Torres N.H., Ferreira L.F.R., Machado-Neto J.G. Sublethal effects of imidacloprid in hematological parameters of tilapia (Oreochromis niloticus). Water Air Soil Pollut. 2019; 230(8): 193. https://doi.org/10.1007/s11270-019-4256-0
24. Patel B.H., Upadhyay A.N., Parikh P.R. Histological changes in the tissues of Oreochromis mossambicus and Labeo rohita on exposure to imidacloprid and curzate. Int. J. Res. Appl. Nat. Soc. Sci. 2016; 4(5): 149–60.
25. Vieira C.E.D., Pérez M.R., Acayaba R.D.A., Raimundo C.C.M., dos Reis Martinez C.B. DNA damage and oxidative stress induced by imidacloprid exposure in different tissues of the Neotropical fish Prochilodus lineatus. Chemosphere. 2018; 195: 125–34. https://doi.org/10.1016/j.chemosphere.2017.12.077
26. Temiz Ö., Dayangaç A. Toxic effects of imidacloprid, copper sulfate, and their combinations on biomolecular and oxidative/antioxidant biomarkers in the tissues of Oreochromis niloticus. Biol. Trace Elem. Res. 2025; 203(1): 454–66. https://doi.org/10.1007/s12011-024-04404-0
27. Akbulut C., Ertuğ N.D.Y. Histopathological evaluation of zebrafish (Danio rerio) intestinal tissue after imidacloprid exposure. Acta Aquat. Turc. 2019; 16(3): 360–5. https://doi.org/10.22392/actaquatr.688863
28. Luo T., Wang X., Jin Y. Low concentrations of imidacloprid exposure induced gut toxicity in adult zebrafish (Danio rerio). Comp. Biochem. Physiol. C Toxicol. Pharmacol. 2021; 241: 108972. https://doi.org/10.1016/j.cbpc.2020.108972
Об авторах
Никита Ильич КочетковРоссия
Кандидат биол. наук, младший научный сотрудник центра «Аквакультуры», ФГБОУ ВО «Московский государственный университет технологий и управления им К.Г. Разумовского (ПКУ)», 109004, г. Москва, Россия
e-mail: samatrixs@gmail.com
Светлана Валерьевна Смородинская
Россия
Кандидат техн. наук, заведующий лабораторией центра «Аквакультуры», ФГБОУ ВО «Московский государственный университет технологий и управления им К.Г. Разумовского (ПКУ)», 109004, г. Москва, Россия
e-mail: kler.smo@gmail.com
Дмитрий Львович Никифоров-Никишин
Россия
Кандидат биол. наук, ведущий научный сотрудник центра «Аквакультуры», ФГБОУ ВО «Московский государственный университет технологий и управления им К.Г. Разумовского (ПКУ)», 109004, г. Москва, Россия
e-mail: niknikdl@rambler.ru
Мария Владимировна Медянкина
Россия
Кандидат биол. наук, доцент кафедры «Экология и природопользование» ФГБОУ ВО «Московский государственный университет технологий и управления им К.Г. Разумовского (ПКУ)», 109004, г. Москва, Россия
e-mail: 79263841762@yandex.ru
Рецензия
Для цитирования:
Кочетков Н.И., Смородинская С.В., Никифоров-Никишин Д.Л., Медянкина М.В. Гематологические и системные патологические нарушения у Danio rerio, вызываемые сублетальными концентрациями имидаклоприда. Токсикологический вестник. 2025;33(6):484-492. https://doi.org/10.47470/0869-7922-2025-33-6-484-492. EDN: kzfqdv
For citation:
Kochetkov N.I., Smorodinskaya S.V., Nikiforov-Nikishin D.L., Medyankina M.V. Hematological and systemic pathological disorders in Danio rerio induced by sublethal concentrations of imidacloprid. Toxicological Review. 2025;33(6):484-492. (In Russ.) https://doi.org/10.47470/0869-7922-2025-33-6-484-492. EDN: kzfqdv
JATS XML





























