Перейти к:
Экспериментальное моделирование химического пневмонита у крыс при внутрижелудочном введении бензина
https://doi.org/10.47470/0869-7922-2026-34-1-37-46
EDN: cbjvgi
Аннотация
Введение. Токсическое действие бензина сопряжено с нарушением функций ЦНС и повреждением органов дыхания – химическим пневмонитом, который обусловливает тяжесть состояния пострадавших при неблагоприятном течении острого перорального отравления. В настоящее время патогенетически обоснованные подходы к коррекции химического пневмонита, вызванного пероральным поступлением бензина, отсутствуют. Для поиска патогенетической терапии необходимы адекватные экспериментальные модели на животных.
Цель – разработать экспериментальную модель химического пневмонита у крыс, вызванного внутрижелудочным введением бензина.
Материал и методы. Экспериментальное исследование выполнено на 128 крысах. В качестве токсиканта использовали бензин марки АИ-92 (далее – бензин), который вводили однократно внутрижелудочно при помощи зонда в дозе 10,3 ± 0,44 мл/кг, (n = 6 в группе). На 1-м этапе была выполнена оценка острой токсичности бензина методом пробит-анализа по Финни, определена средняя летальная доза (ЛД50). На 2-м этапе была проведена проверка адекватности математически подобранной дозы. На 3-м этапе были изучены морфологические, гистологические и рентгенологические изменения в лёгких на 1-е, 2-е, 5-е и 14-е сутки после внутрижелудочного введения бензина (ЛД50).
Результаты. Установлено, что средняя летальная доза бензина при однократном внутрижелудочном введении составила 10,3 ± 0,44 мл/кг. Летальные исходы, обусловленные прямым нейротоксическим действием, формировались в течение первых двух часов после воздействия бензина (30 ± 14%), а летальные исходы вследствие дыхательной недостаточности – в первые 5 суток после воздействия (60 ± 15%). Определили увеличение лёгочного коэффициента во все сроки наблюдения, наиболее выраженное через 24 часа после воздействия. Увеличение лёгочного коэффициента сопровождалось появлением макроскопических изменений (поверхность лёгких вишнёво-синюшного оттенка с множественными субплевральными кровоизлияниями, пенистый экссудат в трахее, очаги геморрагического пропитывания паренхимы лёгких), гистологических изменений (субтотальный интерстициальный отёк с выраженной клеточной реакцией, набухание и фрагментация коллагеновых волокон, участки дисателектазов, деструкции альвеолоцитов с образованием детрита и разрывов межальвеолярных перегородок), рентгенологических изменений (усиление лёгочного рисунка, очаговая инфильтрация в верхних сегментах лёгких). К 14-м суткам после воздействия сохранялись гистологические изменения тканей лёгких, характерные для хронического воспаления с умеренной лимфоидной инфильтрацией, гиалинизацией альвеолярных мембран и локальными фиброзными изменениями. Выявленные изменения в тканях лёгких обусловлены прямым повреждающим действием бензина на компоненты аэрогематического барьера, связанным с его экскрецией с выдыхаемым воздухом.
Ограничения исследования обусловлены его методологией. При выполнении исследования не определяли содержание бензина в крови животных.
Заключение. Разработана воспроизводимая экспериментальная модель химического пневмонита у крыс, вызванного внутрижелудочным введение бензина (ЛД50), тяжесть состояния животных обусловлена острой дыхательной недостаточностью.
Соблюдение этических стандартов. Экспериментальное исследование одобрено независимым этическим комитетом при ФГБВОУ ВО «Военно-медицинская академия им. С.М. Кирова» Министерства обороны Российской Федерации (протокол от 23 января 2024 г. № 287) и проведено в соответствии с Европейской конвенцией о защите позвоночных животных, используемых для экспериментов или в иных научных целях (ETS N 123), директивой Европейского парламента и Совета Европейского Союза 2010/63/EC от 22.09.2010 г. о защите животных, использующихся для научных целей.
Участие авторов.
Смирнов А.Н. – концепция и дизайн исследования, сбор материала, написание текста;
Бугорский И.Б. – сбор материала и обработка данных, написание текста;
Блинов А.К. – сбор и обработка материала;
Смирнова А.Е. – сбор и обработка материала;
Кузьмич В.Г. – сбор и обработка материала;
Толкач П.Г. – ответственность за целостность всех частей статьи, написание текста;
Язенок А.В. – редактирование, утверждение окончательного варианта статьи.
Все соавторы – утверждение окончательного варианта статьи, ответственность за целостность всех её частей.
Конфликт интересов. Авторы заявляют об отсутствии явных и потенциальных конфликтов интересов в связи с публикацией данной статьи.
Финансирование. Исследование не имело спонсорской поддержки.
Поступила в редакцию: 10 мая 2025 / Поступила после исправления: 16 июня 2025 / Принята в печать: 02 февраля 2026 / Опубликована: 18 марта 2026
Для цитирования:
Смирнов А.Н., Бугорский И.Б., Блинов А.К., Смирнова А.Е., Кузьмич В.Г., Толкач П.Г., Язенок А.В. Экспериментальное моделирование химического пневмонита у крыс при внутрижелудочном введении бензина. Токсикологический вестник. 2026;34(1):37-46. https://doi.org/10.47470/0869-7922-2026-34-1-37-46. EDN: cbjvgi
For citation:
Smirnov A.N., Bugorskiy I.B., Blinov A.K., Smirnova A.E., Kuzmich V.G., Tolkach P.G., Yazenok A.V. Experimental modeling of chemical pneumonitis in rats after intragastric administration of gasoline. Toxicological Review. 2026;34(1):37-46. (In Russ.) https://doi.org/10.47470/0869-7922-2026-34-1-37-46. EDN: cbjvgi
Введение
Несмотря на относительно низкую частоту встречаемости в общей структуре химических отравлений, острые интоксикации моторными топливами сохраняют клиническую значимость в практике врачей. Отравления моторными топливами классифицируют по МКБ-10 как токсическое действие нефтепродуктов (Т52.0) или органических растворителей неуточнённых (Т52.9) [1]. Среди нефтепродуктов, включённых в данную классификацию, отравление бензином представляет особую клиническую значимость при относительно низкой распространённости случаев интоксикации. Согласно ретроспективному анализу данных отдела клинической токсикологии Санкт-Петербургского Научно-исследовательского института скорой помощи им. И.И. Джанелидзе и Клиники военно-полевой терапии Военно-медицинской академии им. С.М. Кирова, за период 2018–2024 гг. частота отравлений бензином в Северо-Западном федеральном округе составляла менее 1% от общего числа интоксикаций. Однако тяжесть патологии, связанная с высоким риском формирования жизнеугрожающих осложнений (химический пневмонит, рецидивирующий пневмоторакс и др.), а также отсутствие стандартизированных алгоритмов лечения, обусловленное сложностью диагностики и многофакторностью патогенеза, подчёркивают важность изучения данной проблемы [2, 3].
Ввиду несовершенства организации маршрутизации данной категории пациентов, а также умышленного сокрытия ими факта отравления на рабочем месте большинство случаев интоксикации бензином лёгкой и средней степени тяжести остаются неучтёнными. Кроме того, часть тяжёлых отравлений кодируют как последствия токсического действия веществ преимущественно немедицинского назначения (T97.0 по МКБ-10), что дополнительно искажает статистические данные [1]. Следствием этих системных ошибок становится то, что значительная часть пациентов с отравлением бензином поступает в отделения терапевтического профиля с ошибочными диагнозами «внебольничная или аспирационная пневмония», при этом клиническая картина характеризуется затяжным течением, резистентностью к стандартной антибиотикотерапии и риском абсцедирования [4, 5].
Токсическое действие бензина сопряжено со специфическим лёгочным повреждением – химическим пневмонитом, обусловливающим тяжесть состояния. Химический пневмонит – неинфекционный воспалительный процесс в лёгочной паренхиме, возникающий при прямом воздействии агрессивных химических агентов (кислот, щелочей, летучих органических соединений и др.) на респираторный тракт при ингаляции или аспирации [6, 7]. При пероральной интоксикации бензином химический пневмонит может формироваться как при аспирации, так и без неё. В последнем случае формирование патологических изменений в лёгочной ткани обусловлено экскрецией токсиканта через лёгкие с повреждением компонентов аэрогематического барьера [8, 9].
Высокая частота неблагоприятных исходов при интоксикации бензином и другими моторными топливами связана с ограниченной эффективностью существующих терапевтических подходов к лечению [8], что подчёркивает необходимость разработки новых методов коррекции данного патологического состояния. Анализ доступной литературы свидетельствует об отсутствии экспериментальных моделей, адекватно воспроизводящих патогенез повреждения лёгких при пероральном поступлении моторных топлив.
Цель настоящего исследования заключалась в разработке экспериментальной модели химического пневмонита у лабораторных животных, индуцированного внутрижелудочным введением бензина.
Материал и методы
Экспериментальное исследование выполнено на 128 белых беспородных крысах-самцах массой 250–350 г, полученных из «Питомника лабораторных животных Рапполово» Национального исследовательского центра «Курчатовский институт» (пос. Рапполово Ленинградской области). Исследование выполняли в соответствии с требованиями нормативно-правовых актов о порядке экспериментальной работы с использованием животных, в том числе по гуманному отношению к ним. Животных выдерживали в карантине в течение 14 суток, больных и ослабленных в исследование не включали. Для седации и выведения животных из эксперимента вводили раствор «тилетамин + золазепам» (Золетил 100™, Virbak, Франция).
В качестве токсиканта использовали автомобильный бензин марки АИ 92, который вводили животным внутрижелудочно. Наблюдение за животными осуществляли в течение 14 суток после воздействия [10]. На 1-м этапе исследования оценивали острую токсичность бензина для крыс при его однократном внутрижелудочном введении через зонд; животные были разделены на пять опытных групп (n = 6 в группе), которым бензин вводили однократно в дозах 8, 9, 10, 11 и 12 мл/кг. На 2-м этапе исследования была сформирована отдельная группа крыс (n = 6 в группе), которым бензин вводили однократно внутрижелудочно через зонд в дозе, соответствующей средней летальной (10,3 мл/кг). На 3-м этапе исследования животных подразделили на две группы: группу интоксикации (n = 24) и контрольную группу (n = 24). Крысам группы интоксикации бензин вводили однократно внутрижелудочно через зонд в дозе ЛД50. Крысам контрольной группы однократно внутрижелудочно через зонд вводили физиологический раствор в эквивалентном объёме (10,3 мл/кг). Через 1, 2, 5 и 14 суток из опыта выводили по 6 животных из группы интоксикации и 6 из контрольной группы. Этим животным выполняли определение лёгочного коэффициента и гистологическое исследование лёгких. Дополнительно рентгенографию органов грудной клетки выполняли на 1-е, 5-е и 14-е сутки после воздействия
Животных выводили из эксперимента, в ходе аутопсии осуществляли эвисцерацию и осмотр внутренних органов, рассчитывали лёгочный коэффициент (ЛК) по формуле (1):
ЛК = (МЛ / МК) ∙ 1000; отн. ед., (1)
где МЛ – масса лёгкого, г; МК – масса тела крысы, г.
Лёгкие фиксировали в 10%-м растворе забуференного формалина, обезвоживали, заливали в парафин и изготавливали срезы толщиной 4–5 мкм. Готовили стеклопрепараты для микроскопии по стандартной методике, окрашивали гематоксилином и эозином [11]. Микроскопию срезов проводили при помощи светооптического микроскопа МИКМЕД‑6 (ЛОМО, Россия), оценивали качественные изменения.
Оценку токсичности бензина выполняли методом пробит-анализа в модификации Финни. Среднюю величину летальности в группах и её стандартную ошибку определяли с использованием таблиц процентов и их ошибок, для описания мер центральной тенденции продолжительности жизни применяли медиану с нижним и верхним квартилями (Me [Q25; Q75]). Сравнение независимых показателей, распределение которых отличалось от нормального, проводили с помощью непараметрическогоU-критерия Манна – Уитни. Для сравнения качественных бинарных признаков использовали точный критерий Фишера. Статистическую значимость различий между группами устанавливали при уровне p < 0,05.
Результаты
Установлено, что ЛД50 бензина при его внутрижелудочном введении составила 10,3 ± 0,44 мл/кг, ЛД16 – 8,8 мл/кг, ЛД84 – 11,9 мл/кг, ЛД99 – 12,7 мл/кг. Летальность животных в опытных группах и эквивалентные дозы бензина для крыс представлены в таблице.

На втором этапе исследования животных подвергли интоксикации путём внутрижелудочного введения бензина в дозе ЛД50. При проверке адекватности математически подобранной дозы определили, что летальность животных составила 60 ± 16%, а медиана продолжительности жизни – 3 суток (рис. 1).

Появление симптомов интоксикации отмечали в период от 15-й до 30-й мин после введения бензина. Наблюдали снижение двигательной активности и защитного поведения при взятии животных в руки, угасание рефлексов переворачивания, разгибания конечностей, снижение болевого, роговичного и глоточного рефлексов. Дыхание становилось аритмичным, была задействована вспомогательная мускулатура, развивалось брадипноэ. Через 30–40 мин после введения бензина положение тела животных в пространстве – на боку. В интервале 40–90 мин после воздействия у животных реакция на тактильные и болевые стимулы отсутствовала, определили признаки гипоксии (цианоз слизистых), агональные дыхательные движения, после чего фиксировали летальный исход. У 30 ± 14% животных гибель наступала в первые 90–120 мин после воздействия, сопровождаясь слабоинтенсивными клонико-тоническими судорогами. У 60 ± 15% особей летальность развивалась в течение 5 суток после воздействия на фоне прогрессирующей дыхательной недостаточности.
На третьем этапе исследования животным в различные сроки после введения бензина проводили рентгенографию органов грудной клетки. При анализе рентгенограмм крыс контрольной и опытных групп, выполненных накануне воздействия, определили равномерно прозрачные лёгкие с веерообразно расходящимися чётко очерченными тенями крупных кровеносных сосудов, постепенно истончающимися к периферии (рис. 2, а, б).

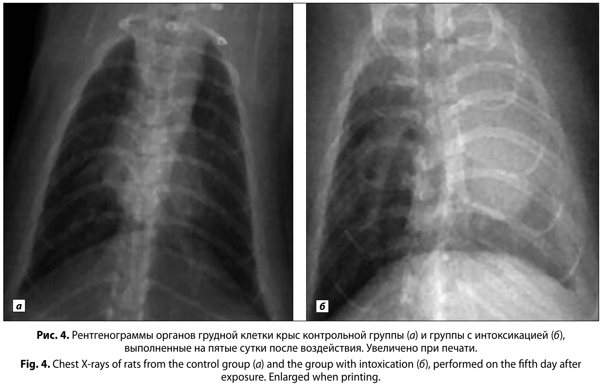
При проведении анализа рентгенограмм, полученных после воздействия, выявили значимые (p < 0,01) различия в частоте встречаемости очаговой инфильтрации у животных, подвергшихся воздействию бензина, по сравнению с животными контрольной группы. На 1-е сутки у 20 ± 9% животных группы с интоксикацией наблюдали усиление лёгочного рисунка с очаговой инфильтрацией в верхних сегментах лёгких, тогда как в контроле патологические изменения отсутствовали (рис. 3, а, б). К 5-м суткам доля особей с рентгенологическими признаками поражения составила 50 ± 12% и была выше (p < 0,001) по сравнению с контролем (рис. 4, а, б).


На 14-е сутки у выживших животных рентгенологически фиксировали полное разрешение ранее выявленных изменений (рис. 5, а, б). Лёгочные поля сохраняли равномерную прозрачность, патологические затемнения и признаки перибронхиальной инфильтрации отсутствовали. В контрольной группе на всех этапах исследования (1-е, 5-е и 14-е сутки) при рентгенографии определили равномерно прозрачные лёгочные поля без инфильтративных изменений.

Статистически значимое увеличение лёгочного коэффициента у крыс группы с интоксикацией по сравнению с контролем зафиксировано на 1-е, 2-е и 14-е сутки после воздействия. На 1-е сутки медиана ЛК в группе интоксикации составила 11,7 [10,5; 15,5] отн. ед., что в 2 раза (р < 0,001) превышало значения у животных контрольной группы (5,7 [5,2; 5,8] отн. ед.). На 2-е сутки ЛК снизился (по сравнению с 1-ми сутками после воздействия), но был на 50% выше (р < 0,01) по сравнению с контролем. К 14-м суткам после воздействия ЛК животных группы с интоксикацией был выше (р < 0,05) на 28% по сравнению с контролем (рис. 6, а, б).

При проведении макроскопического исследования лёгких установлено, что у животных контрольной группы патологические изменения отсутствовали. На 1-е сутки после воздействия бензина поверхность лёгких крыс группы с интоксикацией имела лаковый вишнёво-синюшный оттенок с множественными субплевральными кровоизлияниями. В трахее обнаружили пенистый экссудат прозрачного или геморрагического характера. При компрессии паренхимы выделялось незначительное количество тёмно-красной жидкости. Отмечали очаги геморрагического пропитывания диаметром 3–5 мм, а у части животных – сливные очаги тёмно-серого цвета, занимающие до половины объёма лёгких.
К 5-м суткам после воздействия поверхность лёгких была бугристой за счёт чередования зон консолидации (коричнево-серые участки) и эмфизематозного вздутия по периферии долей. Паренхима утрачивала эластичность, на разрезе визуализировали некротические очаги диаметром до 12 мм.
К 14-м суткам после воздействия рентгенологическая картина у выживших животных демонстрировала восстановление прозрачности лёгочных полей и отсутствие инфильтративных изменений, что соответствовало данным контрольной группы. Однако при проведении макроскопического исследования были выявлены плотные тёмно-коричневые сливные зоны в прикорневых отделах, окружённые участками ателектазов.
При гистологическом исследовании лёгких, на 1-е и 2-е сутки после воздействия, выявили картину субтотального интерстициального отёка с выраженной клеточной реакцией. Просветы ацинусов были заполнены мелкозернистым эозинофильным экссудатом, содержащим эритроциты, полиморфноядерные лейкоциты и эозинофилы. Коллагеновые волокна соединительной ткани характеризовались набуханием и фрагментацией. Наблюдали участки дисателектазов, характеризующиеся чередованием спавшихся альвеол и эмфизематозно расширенных зон лёгочной паренхимы. В паренхиме визуализировали поля относительно сохранных ацинусов, перемежающиеся с участками деструкции альвеолоцитов, где клетки с мембранными дефектами формировали эозинофильную зернистую массу детрита. Межальвеолярные перегородки имели разрывы по типу «птичьих шпор», а в просвете сосудов отмечали агрегацию эритроцитов в виде «монетных столбиков» (рис. 7, а, б, см. на вклейке).

На 5-е сутки после воздействия в просвете бронхов и многих альвеолярных полостях обнаружили гнойный экссудат, нейтрофильную инфильтрацию межальвеолярных перегородок. В бронхах выявляли разрыхление, дезорганизацию, очаговую десквамацию и секвестрацию эпителия, что приводило к формированию гнойных масс, перекрывающих просвет альвеол и бронхиального дерева. По площади поражения лёгочной ткани изменения варьировали от очаговых до субтотальных. В долях с гнойно-некротическим пневмонитом перегородочные капилляры были сдавлены альвеолярным содержимым. В просветах сосудов мышечного типа идентифицированы тромбоцитарно-эритроцитарные тромбы, в центре которых визуализировали лизированные эритроциты с нечёткими контурами, что указывает на деградацию клеточных мембран. Реологические изменения крови были выражены в её делении в просвете сосудов на форменные элементы и плазму. Местами встречали многочисленные диапедезные экстравазаты. В сравнении с гистологическими препаратами лёгких, полученных на 1-е сутки после воздействия, выявленная эмфизема носила уже характер распространённого пневматоцеле. Выявили гранулематозную реакцию на липиды, окружённую соединительной тканью, фибробластами и лимфоцитами, образующими лимфатические фолликулы и пенистые макрофаги, заполненные оптически прозрачными везикулами (рис. 8, а, б, см. на вклейке).

На гистологических препаратах животных группы с интоксикацией, полученных на 14-е сутки после воздействия, наблюдали умеренно выраженную инфильтрацию альвеол полиморфноядерными лейкоцитами с небольшим количеством эозинофилов, макрофагов и лимфоидных клеток. При этом в некоторых участках повреждённых долей лёгких встречали умеренно выраженные гиалиновые мембраны.
Обсуждение
В выполненном экспериментальном исследовании определили основные токсикометрические параметры бензина при его однократном внутрижелудочном введении крысам.
Моделирование интоксикации крыс бензином (ЛД50) позволило установить, что летальные исходы формируются в раннем постинтоксикационном периоде (первые два часа после воздействия) и в течение пяти суток после воздействия. Летальные исходы в раннем постинтоксикационном периоде были связаны с непосредственным нейротоксическим действием бензина, приводящим к центральному угнетению дыхания и кровообращения [12–15]. Летальные исходы, сформировавшиеся в течение пяти суток после воздействия, происходили на фоне прогрессирующей дыхательной недостаточности.
Известно, что бензин экскретируется с выдыхаемым воздухом, оказывая повреждающее действие на компоненты аэрогематического барьера, за счёт непосредственного повреждения липидов, активации каскада воспалительных реакций, генерации свободных радикалов и разрушения слоя сурфактанта [16–18]. Нарушение целостности аэрогематического барьера приводит к увеличению его проницаемости и накоплению внесосудистой жидкости в тканях лёгких [19]. Так, уже через сутки после воздействия определили значимое увеличение лёгочного коэффициента, сопровождающееся появлением гистологических и рентгенологических признаков повреждения лёгких. Выявленные изменения сохранялись на 2-е и 5-е сутки после воздействия, в эти же сроки происходили летальные исходы животных, обусловленные дыхательной недостаточностью, вызванной нарушением структуры паренхимы лёгких. Снижение лёгочного коэффициента по сравнению со значениями, полученными на 1-е сутки после воздействия, может быть связано с компенсаторными механизмами, направленными на резорбцию отёчной жидкости через лимфатическую систему [20].
У выживших животных на 14-е сутки после воздействия лёгочный коэффициент оставался повышенным, определялись признаки повреждения при гистологическом исследовании. Тем не менее при проведении рентгенологического исследования никаких изменений не выявили. Таким образом, рентгенологическое исследование органов грудной клетки не в полной мере отражает состояние тканей лёгких в отсроченном постинтоксикационном периоде.
Выявленные изменения в тканях лёгких крыс после воздействия бензина (ЛД50) характерны для такой формы патологии, как химический пневмонит [1, 2, 12, 21]. С учётом того, что у крыс отсутствует рвотный рефлекс [16], выявленные изменения тканей лёгких связаны с ингаляционным повреждением, по причине экскреции бензина с выдыхаемым воздухом [19, 22, 23]. Тяжесть состояния животных была обусловлена дыхательной гипоксией из-за нарушения газообмена в лёгких.
Ограничения исследования обусловлены его методологией. При выполнении исследования не определяли содержание бензина в крови животных.
Заключение
В проведённом исследовании разработана воспроизводимая экспериментальная модель химического пневмонита у крыс, вызванного внутрижелудочным введением бензина в дозе, соответствующей средней летальной, что подтверждено комплексом рентгенологических, гистологических и морфологических методов исследований. Данная модель может быть использована для оценки эффективности средств ранней патогенетической терапии отравлений моторными топливами.
Список литературы
1. Лодягин А.Н., Синенченко А.Г., Шилов В.В., Батоцыренов Б.В., Синеченко Г.И. Структура острых химических отравлений в период пандемии COVID-19. Токсикологический вестник. 2022; 30(1): 4–11. https://doi.org/10.47470/0869-7922-2022-30-1-4-11 https://elibrary.ru/tlolgz
2. Harper C., Liccione J.J. Toxicological Profile for Gasoline. Atlanta; 1995.
3. Симутис И.С., Бояринов Г.А., Юрьев М.Ю., Петровский Д.С., Коваленко А.Л., Парфенов С.А. Возможности коррекции гипервоспаления при COVID-19. Антибиотики и химиотерапия. 2021; 66(3-4): 40–8. https://doi.org/10.37489/0235-2990-2021-66-3-4-40-48 https://elibrary.ru/nmxgts
4. Парфенов С.А., Боровков Е.Ю., Шагвалиев А.Г., Тучин И.А., Белов В.Г., Парфенов Ю.А. Современные направления профилактики внебольничной пневмонии у военнослужащих, проходящих военную службу по призыву. Антибиотики и химиотерапия. 2018; 63(1–2): 38–43. https://elibrary.ru/xtgenn
5. Ильинский Н.С., Парфенов С.А., Харитонова Т.В., Парфенов Ю.А. Влияние цитофлавина на восстановление когнитивных функций у страдающих алкоголизмом пожилых лиц. Журнал неврологии и психиатрии им. С.С. Корсакова. 2016; 116(11-2): 49–53. https://doi.org/10.17116/jnevro201611611249-53 https://elibrary.ru/yfsrpp
6. Сагадуллина М.Р., Файсханов И.Р., Зарипова Л.И., Шамсутдинова Н.Г, Дьякова Е.В., Низамова С.Р. Клинические проявления поражения легких при интоксикации нефтепродуктами (бензином). Практическая медицина. 2022; 20(6): 113–8.
7. Лопатько В.С. Предикторы развития токсического отека легких у лабораторных животных при интоксикации веществами пульмонотоксического действия. Известия Российской военно-медицинской академии. 2020; 39(1): 53–9. https://elibrary.ru/kqfndh
8. Крюков Е.В., Тришкин Д.В., Агафонов П.В. Военно-полевая терапия: национальное руководство. М.: ГЭОТАР-Медиа; 2023.
9. Симутис И.С., Бояринов Г.А., Юрьев М.Ю., Петровский Д.С., Коваленко А.Л., Сапожников К.В. Новый взгляд на коррекцию COVID-19-опосредованных нарушений лёгочного газообмена. Казанский медицинский журнал. 2021; 102(3): 362–72. https://doi.org/10.17816/KMJ2021-362 https://elibrary.ru/txubbq
10. Horn C.C., Kimball B.A., Wang H., Kaus J., Dienel S., Nagy A., et al. Why can’t rodents vomit? A comparative behavioral, anatomical, and physiological study. PLoS One. 2013; 8(4): e60537. https://doi.org/10.1371/journal.pone.0060537
11. Andrews P.L., Davis C.J., Bingham S., Davidson H.I., Hawthorn J., Maskell L. The abdominal visceral innervation and the emetic reflex: pathways, pharmacology, and plasticity. Can. J. Physiol. Pharmacol. 1990; 68(2): 325–45. https://doi.org/10.1139/y90-047
12. Андрос Н.О., Гунько М.В., Кононенко К.Н. Влияние стерилизации и кастрации на поведенческие реакции при совместном содержании декоративных крыс. Ветеринария Северного Кавказа. 2022; (4): 10–7. https://doi.org/10.56660/77368_2022_4_15 https://elibrary.ru/tdxifd
13. Симутис И.С., Бояринов Г.А., Юрьев М.Ю., Петровский Д.С., Коваленко А.Л., Сапожников К.В. Первый опыт применения меглюмина натрия сукцината в коррекции COVID-19-ассоциированной коагулопатии. Общая реаниматология. 2021; 17(3): 50–64. https://doi.org/10.15360/1813-9779-2021-3-50-64 https://elibrary.ru/ajbrby
14. Ершова Г.В., Парфенов Ю.А., Сапожников К.В. Судебно-медицинская экспертиза оценки тяжести вреда здоровью в современном уголовном судопроизводстве. Российский следователь. 2019; (11): 26–30. https://elibrary.ru/fkcops
15. Марченко Б.И., Дерябкина Л.А., Нестерова О.А., Тарасенко К.С. Острые отравления химической этиологии в промышленном городе. Здоровье населения и среда обитания – ЗНиСО. 2023; 31(11): 33–41. https://doi.org/10.35627/2219-5238/2023-31-11-33-41 https://elibrary.ru/bclkaj
16. Оруджев Р.А., Джафарова Р.Э. Особенности токсического действия углеводородов нефти на организм человека. Вестник Витебского государственного медицинского университета. 2017; 16(4): 8–15. https://doi.org/10.22263/2312-4156.2017.4.8 https://elibrary.ru/zdjrev
17. Ивашкин В.Т., Алексеев В.Г., Козловский И.А., Синопальноков А.И, Абросимов А.В, Молодчина А.И. Поражения бронхолегочной системы при отравлениях бензином. Пульмонология. 1992; (4): 76–80.
18. Burns M.J., Dickson E.W., Sivilotti M.L., Hocker M., Porcaro W.A. Enhanced mortality from per fluorocarbon administration in a rat model of kerosene aspiration. J. Toxicol. Clin. Toxicol. 1999; 37(7): 855–9. https://doi.org/10.1081/clt-100102465
19. Gurujeyalakshmi G., Hollinger M.A. Pulmonary toxicity of hydrocarbon fuels and related solvents. Drug Chem. Toxicol. 1996; 19(4): 339–57.
20. Коржевский Д.Э., Гилерович Е.Г., Кирик О.В., Сухорукова Е.Г. Морфологическая диагностика. СПб.: СпецЛит; 2013.
21. Коваленко Л.А., Суходолова Г.Н., Страхов С.И., Ковальчук А.С., Скрылева Л.П., Долгинов Д.М. Острые отравления нефтепродуктами в детском возрасте. Московская медицина. 2016; (S1): 127. https://elibrary.ru/rrslsz
22. Wiehle R.D., Richardson M., Besch N., Besch P., Kirshon B., Reiter A., et al. Marker proteins in the particulate fraction of third-trimester amniotic fluid. Exp. Lung Res. 1995; 21(1): 17–39. https://doi.org/10.3109/01902149509031742
23. Kunimasa K., Arita M., Tachibana H., Tsubouchi K., Konishi S., Korogi Y., er al. Chemical pneumonitis and acute lung injury caused by inhalation of nickel fumes. Intern. Med. 2011; 50(18): 2035–8. https://doi.org/10.2169/internalmedicine.50.5557
24. Торкунов П.А., Шабанов П.Д. Токсический отек легких: патогенез, моделирование, методология изучения. Обзоры по клинической фармакологии и лекарственной терапии. 2008; 6(2): 3–54. https://elibrary.ru/jqqbrz
25. O’Callaghan J.P., Daughtrey W.C., Clark C.R., Schreiner C.A., White R. Health assessment of gasoline and fuel oxygenate vapors: neurotoxicity evaluation. Regul. Toxicol. Pharmacol. 2014; 70(2 Suppl.): S35–42. https://doi.org/10.1016/j.yrtph.2014.05.002
Об авторах
Антон Николаевич СмирновРоссия
Адъюнкт ФГБВОУ ВО «Военно-медицинская академия» Министерства обороны Российской Федерации» Министерства обороны России, 194044, г. Санкт-Петербург, Россия
e-mail: sandstorm9@mail.ru
Иван Борисович Бугорский
Россия
Адъюнкт ФГБВОУ ВО «Военно-медицинская академия» Министерства обороны Российской Федерации» Министерства обороны России, 194044, г. Санкт-Петербург, Россия
e-mail: Bugor-89@yandex.ru
Андрей Константинович Блинов
Россия
Курсант 5 курса ФГБВОУ ВО «Военно-медицинская академия» Министерства обороны Российской Федерации» Министерства обороны России, 194044, г. Санкт-Петербург, Россия
e-mail: sandstorm9@mail.ru
Алена Евгеньевна Смирнова
Россия
Клинический ординатор ФГБВОУ ВО «Военно-медицинская академия» Министерства обороны Российской Федерации» Министерства обороны России, 194044, г. Санкт-Петербург, Россия
e-mail: al.trofimova@mail.ru
Владимир Геннадьевич Кузьмич
Россия
Кандидат медицинских наук, доцент кафедры военно-полевой терапии ФГБВОУ ВО «Военно-медицинская академия» Министерства обороны Российской Федерации» Министерства обороны России, 194044, г. Санкт-Петербург, Россия
e-mail: q-zmich1978@mail.ru
Павел Геннадьевич Толкач
Россия
Кандидат медицинских наук, заместитель начальника кафедры военной токсикологии и медицинской защиты ФГБВОУ ВО «Военно-медицинская академия» Министерства обороны Российской Федерации» Министерства обороны России, 194044, г. Санкт-Петербург, Россия
e-mail: pusher6@yandex.ru
Аркадий Витальевич Язенок
Россия
Доктор медицинских наук, профессор, начальник кафедры военно-полевой терапии ФГБВОУ ВО «Военно-медицинская академия» Министерства обороны Российской Федерации» Министерства обороны России, 194044, г. Санкт-Петербург, Россия
e-mail: arkyazenok@yandex.ru
Рецензия
Для цитирования:
Смирнов А.Н., Бугорский И.Б., Блинов А.К., Смирнова А.Е., Кузьмич В.Г., Толкач П.Г., Язенок А.В. Экспериментальное моделирование химического пневмонита у крыс при внутрижелудочном введении бензина. Токсикологический вестник. 2026;34(1):37-46. https://doi.org/10.47470/0869-7922-2026-34-1-37-46. EDN: cbjvgi
For citation:
Smirnov A.N., Bugorskiy I.B., Blinov A.K., Smirnova A.E., Kuzmich V.G., Tolkach P.G., Yazenok A.V. Experimental modeling of chemical pneumonitis in rats after intragastric administration of gasoline. Toxicological Review. 2026;34(1):37-46. (In Russ.) https://doi.org/10.47470/0869-7922-2026-34-1-37-46. EDN: cbjvgi
JATS XML





























